Promotional price valid on web orders only. Your contract pricing may differ. Interested in signing up for a dedicated account number?
Learn More
Learn More
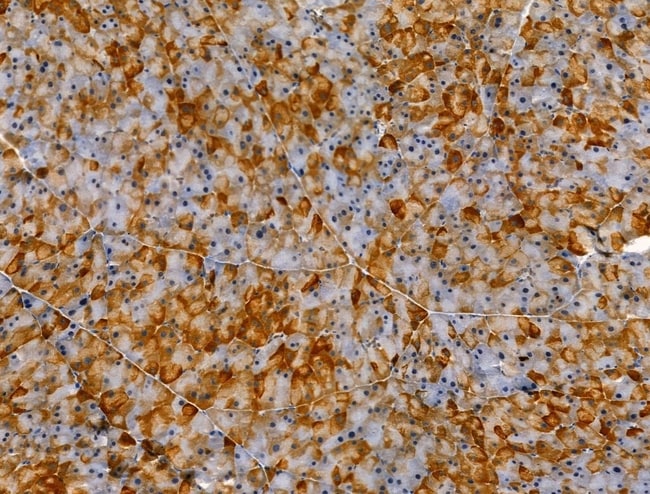
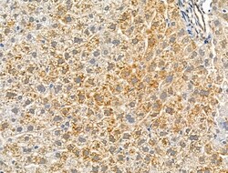
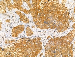
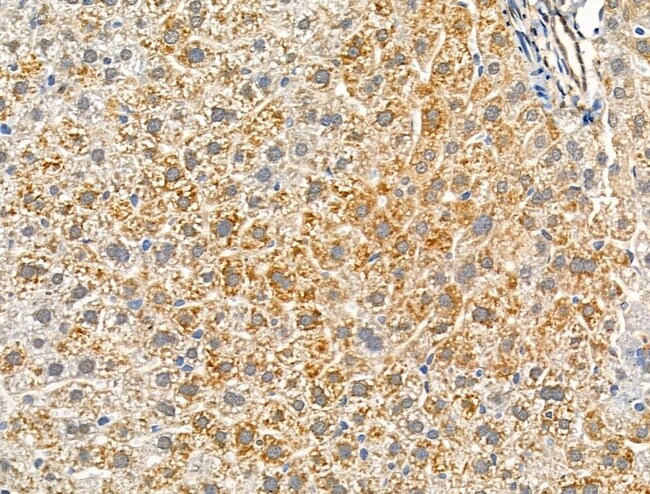
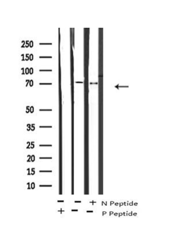
Invitrogen™ Phospho-NR4A1 (Ser351) Polyclonal Antibody

Rabbit Polyclonal Antibody
Supplier: Invitrogen™ PA5105155
Description
Antibody detects endogenous levels of NUR77 only when phosphorylated at Ser351.
NR4A1 is a member of the steroid-thyroid hormone-retinoid receptor superfamily. NGFI-B-alpha is expressed in brain, adrenal, thyroid, liver, testis, ovary, thymus, muscle, lung and prostate. Its expression is induced in response to various stress stimuli and growth factors. The encoded protein acts as a nuclear transcription factor involved in mediating apoptotic signaling in thymocytes and tumor cells, as well as having a role in signaling in the hypothalamic-pituitary axis. Translocation of the protein from the nucleus to mitochondria induces apoptosis. Three transcript variants encoding two distinct isoforms have been identified for this NR4A1. Variant (3), also known as TRC beta, contains multiple differences compared to variant 1. The resulting isoform b contains a shorter and distinct C-terminus compared to isoform a. RXR has been shown to be a partner for NR4A1.
Specifications
| Phospho-NR4A1 (Ser351) | |
| Polyclonal | |
| Unconjugated | |
| NR4A1 | |
| early response protein NAK1; Gfrp; GFRP1; growth factor-inducible nuclear protein N10; Hbr1; Hbr-1; Hmr; hormone receptor; immediate early gene transcription factor NGFI-B; MGC9485; N10; NAK1; NAK-1; nerve growth factor IB nuclear receptor variant 1; nerve growth factor induced protein I-B; nerve growth factor-induced protein I-B; Ngfib; NGFI-B; NP10; Nr4a1; Nuclear hormone receptor NUR/77; nuclear protein N10; Nuclear receptor subfamily 4 group A member 1; nuclear receptor subfamily 4, group A, member 1; NUR77; Orphan nuclear receptor HMR; orphan nuclear receptor TR3; Orphan receptor tr3; ST-59; steroid receptor TR3; testicular receptor 3; TIS1; TR3; TR3 orphan receptor | |
| Rabbit | |
| Sequential Chromatography | |
| RUO | |
| 15370, 3164, 79240 | |
| -20°C | |
| Liquid |
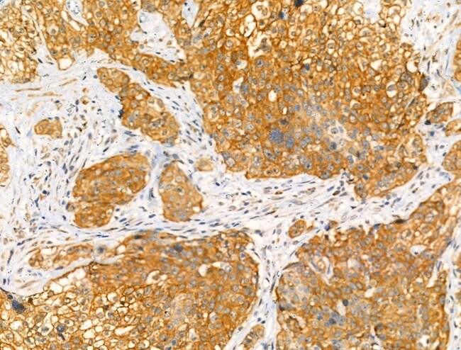
| Immunohistochemistry (Paraffin), Western Blot | |
| 1 mg/mL | |
| PBS with 50% glycerol and 0.02% sodium azide; pH 7.4 | |
| P12813, P22736, P22829 | |
| NR4A1 | |
| A synthesized peptide derived from human NR4A1(Accession P22736), corresponding to amino acid residues around phosphorylated Ser351. | |
| 100 μL | |
| Primary | |
| Human, Mouse, Rat | |
| Antibody | |
| IgG |
Safety and Handling
WARNING: Cancer - www.P65Warnings.ca.gov
Product Content Correction
Your input is important to us. Please complete this form to provide feedback related to the content on this product.
Product Title
Spot an opportunity for improvement?Share a Content Correction