Promotional price valid on web orders only. Your contract pricing may differ. Interested in signing up for a dedicated account number?
Learn More
Learn More
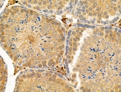
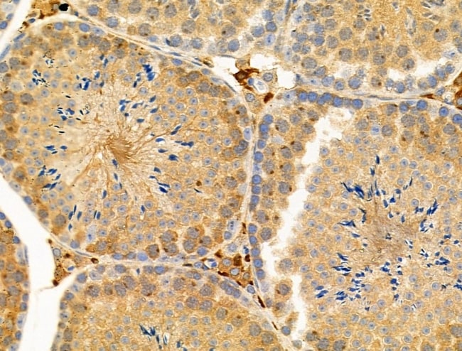
Invitrogen™ Phospho-Nudel (Thr219) Polyclonal Antibody

Rabbit Polyclonal Antibody
Supplier: Invitrogen™ PA5106190
Description
Antibody detects endogenous levels of NDEL1 only when phosphorylated at Thr219.
This gene encodes a thiol-activated peptidase that is phosphorylated in M phase of the cell cycle. Phosphorylation regulates the cell cycle-dependent distribution of this protein, with a fraction of the protein bound strongly to centrosomes in interphase and localized to mitotic spindles in early M phase. Overall, this protein plays a role in nervous system development. Alternate transcriptional splice variants, encoding different isoforms, have been characterized.
Specifications
| Phospho-Nudel (Thr219) | |
| Polyclonal | |
| Unconjugated | |
| Ndel1 | |
| 2600006O07Rik; ATP-sensitive inward rectifier potassium channel 15; DKFZp451M0318; endooligopeptidase A; EOPA; Inward rectifier K(+) channel Kir4.2; Kcnj15; Kir4.2; LIS1-interacting protein NUDEL; LIS1-interacting protein NUDEL; endooligopeptidase A; MITAP1; Mitosin-associated protein 1; mitosin-associated protein MITAP1; mNudel; mNudE-L; NDE1L1; NDE2; Ndel1; nuclear disribution gene E like; nuclear distribution gene E-like homolog 1; nuclear distribution gene E-like homolog 1 (A. nidulans); nuclear distribution protein nudE-like 1; nudE neurodevelopment protein 1 like 1; nudE neurodevelopment protein 1-like 1; nudE nuclear distribution E homolog-like 1; nudE nuclear distribution gene E homolog like 1; nudE nuclear distribution gene E homolog-like 1; Nude2; NUDEL; NUDE-like protein; Potassium channel, inwardly rectifying subfamily J member 15; potassium channel, inwardly rectifying subfamily J, member 15; potassium inwardly-rectifying channel, subfamily J, member 15; Protein mNudE-like; Protein Nudel; unnamed protein product | |
| Rabbit | |
| Sequential Chromatography | |
| RUO | |
| 170845, 81565, 83431 | |
| -20°C | |
| Liquid |
| Immunohistochemistry (Paraffin), Western Blot | |
| 1 mg/mL | |
| PBS with 50% glycerol and 0.02% sodium azide; pH 7.4 | |
| Q78PB6, Q9ERR1, Q9GZM8 | |
| Ndel1 | |
| A synthesized peptide derived from human NDEL1(Accession Q9GZM8), corresponding to amino acid residues around phosphorylated Thr219. | |
| 100 μL | |
| Primary | |
| Human, Mouse, Rat | |
| Antibody | |
| IgG |
Safety and Handling
WARNING: Cancer - www.P65Warnings.ca.gov
Product Content Correction
Your input is important to us. Please complete this form to provide feedback related to the content on this product.
Product Title
Spot an opportunity for improvement?Share a Content Correction