Promotional price valid on web orders only. Your contract pricing may differ. Interested in signing up for a dedicated account number?
Learn More
Learn More
Invitrogen™ Phospho-PAK1 (Ser204) Polyclonal Antibody

Rabbit Polyclonal Antibody
Supplier: Invitrogen™ PA537676
Description
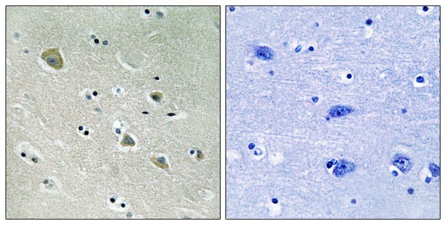
A suggested positive control for Western blot is NIH-3T3 cells; suggested positive control for IHC is human brain tissue.
PAK1 is a serine/threonine kinase that is a target for restenosis, cancer, and immunosuppression treatment. These proteins serve as targets for the small GTP binding proteins Cdc42 and Rac and have been implicated in a wide range of biological activities. PAK1 regulates cell motility and morphology.
Specifications
Phospho-PAK1 (Ser204) | |
Polyclonal | |
Unconjugated | |
Pak1 | |
activated protein kinase alpha; ADRB2; adriamycin resistance-associated; alpha pak; alpha-PAK; ARA; AW045634; Beta-PAK; bPAK; CDC42/RAC effector kinase PAK-A; C-t-PAK2; EC 2.7.11.1; gamma-PAK; kinase PAK1; MGC130000; MGC130001; MRX30; MRX47; Oligophrenin-3; OPHN3; p21 (CDKN1A)-activated kinase 1; p21 (CDKN1A)-activated kinase 2; p21 (CDKN1A)-activated kinase 3; p21 (RAC1) activated kinase 1; p21 (RAC1) activated kinase 2; p21 (RAC1) activated kinase 3; p21 protein (Cdc42/Rac)-activated kinase 1; p21 protein (Cdc42/Rac)-activated kinase 2; p21 protein (Cdc42/Rac)-activated kinase 3; p21/Cdc42/Rac1-activated kinase 1 (STE20 homolog, yeast); p21/Cdc42/Rac1-activated kinase 1 (yeast Ste20-related); p21-activated kinase 1; p21-activated kinase 2; p21-activated kinase 3; p27; p34; p58; p65-PAK; p68-PAK; PAK 1; PAK1; PAK-1; PAK1B; PAK2; PAK-2; PAK-2p27; PAK-2p34; PAK3; PAK-3; PAK3beta; PAK65; Paka; PAKalpha; PAKgamma; protein kinase MUK2; S6/H4 kinase; serine/threonine-protein kinase PAK 1; Serine/threonine-protein kinase PAK 2; serine/threonine-protein kinase PAK 3; STE20 homolog, yeast | |
Rabbit | |
Affinity Chromatography | |
RUO | |
5058 | |
-20°C | |
Liquid |
Immunohistochemistry (Paraffin), Western Blot | |
1 mg/mL | |
PBS with 50% glycerol and 0.02% sodium azide; pH 7.4 | |
Q13153 | |
Pak1 | |
Peptide sequence around phosphorylation site of Serine 204(T-R-S(p)-V-I) derived from Human PAK1. | |
100 μL | |
Primary | |
Human | |
Antibody | |
IgG |
Product Content Correction
Your input is important to us. Please complete this form to provide feedback related to the content on this product.
Product Title
Spot an opportunity for improvement?Share a Content Correction