Promotional price valid on web orders only. Your contract pricing may differ. Interested in signing up for a dedicated account number?
Learn More
Learn More
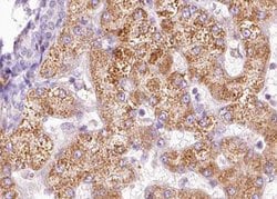
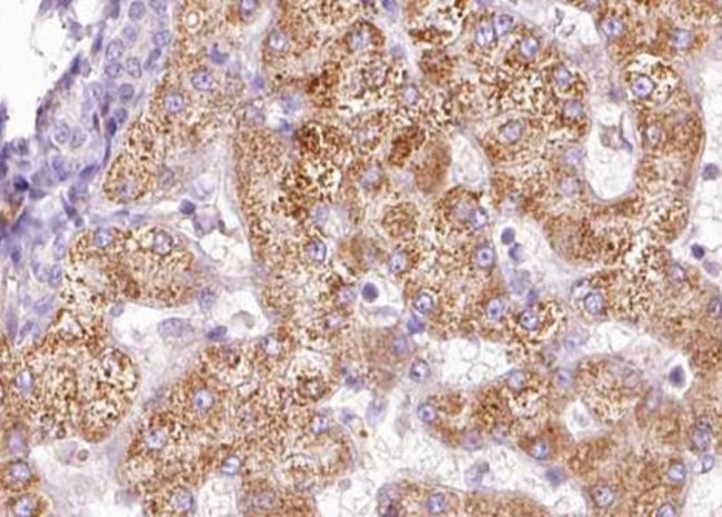
Invitrogen™ Phospho-PAK1 (Thr212) Polyclonal Antibody

Rabbit Polyclonal Antibody
Supplier: Invitrogen™ PA5104983
Description
Antibody detects endogenous levels of PAK1 only when phosphorylated at Threonine 212.
PAK1 is a serine/threonine kinase that is a target for restenosis, cancer, and immunosuppression treatment. These proteins serve as targets for the small GTP binding proteins Cdc42 and Rac and have been implicated in a wide range of biological activities. PAK1 regulates cell motility and morphology.
Specifications
| Phospho-PAK1 (Thr212) | |
| Polyclonal | |
| Unconjugated | |
| Pak1 | |
| activated protein kinase alpha; ADRB2; adriamycin resistance-associated; alpha pak; alpha-PAK; ARA; AW045634; Beta-PAK; bPAK; CDC42/RAC effector kinase PAK-A; C-t-PAK2; EC 2.7.11.1; gamma-PAK; kinase PAK1; MGC130000; MGC130001; MRX30; MRX47; Oligophrenin-3; OPHN3; p21 (CDKN1A)-activated kinase 1; p21 (CDKN1A)-activated kinase 2; p21 (CDKN1A)-activated kinase 3; p21 (RAC1) activated kinase 1; p21 (RAC1) activated kinase 2; p21 (RAC1) activated kinase 3; p21 protein (Cdc42/Rac)-activated kinase 1; p21 protein (Cdc42/Rac)-activated kinase 2; p21 protein (Cdc42/Rac)-activated kinase 3; p21/Cdc42/Rac1-activated kinase 1 (STE20 homolog, yeast); p21/Cdc42/Rac1-activated kinase 1 (yeast Ste20-related); p21-activated kinase 1; p21-activated kinase 2; p21-activated kinase 3; p27; p34; p58; p65-PAK; p68-PAK; PAK 1; PAK1; PAK-1; PAK1B; PAK2; PAK-2; PAK-2p27; PAK-2p34; PAK3; PAK-3; PAK3beta; PAK65; Paka; PAKalpha; PAKgamma; protein kinase MUK2; S6/H4 kinase; serine/threonine-protein kinase PAK 1; Serine/threonine-protein kinase PAK 2; serine/threonine-protein kinase PAK 3; STE20 homolog, yeast | |
| Rabbit | |
| Sequential chromatography | |
| RUO | |
| 18479, 29431, 5058 | |
| -20°C | |
| Liquid |
| Immunohistochemistry (Paraffin), Western Blot, Immunocytochemistry | |
| 1 mg/mL | |
| PBS with 50% glycerol and 0.02% sodium azide; pH 7.4 | |
| O88643, P35465, Q13153 | |
| Pak1 | |
| A synthesized peptide derived from human PAK1(Accession Q13153), corresponding to amino acid residues around phosphorylated Thr212. | |
| 100 μL | |
| Primary | |
| Human, Mouse, Rat | |
| Antibody | |
| IgG |
Safety and Handling
WARNING: Cancer - www.P65Warnings.ca.gov
Product Content Correction
Your input is important to us. Please complete this form to provide feedback related to the content on this product.
Product Title
Spot an opportunity for improvement?Share a Content Correction