Learn More
Invitrogen™ Phospho-Paxillin (Ser272) Polyclonal Antibody

Description
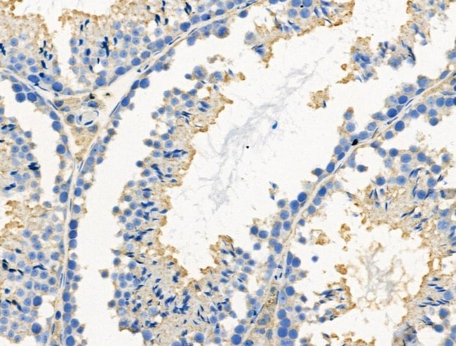
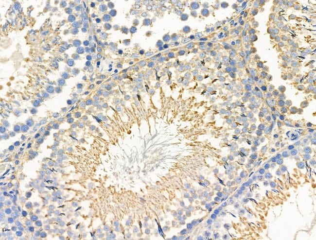
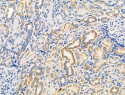
Antibody detects endogenous levels of Paxillin only when phosphorylated at Ser272.
Specifications
Specifications
| Antigen | Phospho-Paxillin (Ser272) |
| Applications | Immunohistochemistry (Paraffin), Western Blot |
| Classification | Polyclonal |
| Concentration | 1 mg/mL |
| Conjugate | Unconjugated |
| Formulation | PBS with 50% glycerol and 0.02% sodium azide |
| Gene | PXN |
| Gene Accession No. | P49023, Q66H76, Q8VI36 |
| Gene Alias | adaptor protein; AW108311; AW123232; FLJ16691; hCG_1778014; I79_001229; myocardial ischemic preconditioning associated protein 7; Pax; PAX-1; PAXI; Paxillin; paxillin a; paxillin alpha; pxn; pxna; testicular tissue protein Li 134; TGFB1I1; transforming growth factor beta 1 induced transcript 1; wu:fw71f12 |
| Gene Symbols | PXN |
| Show More |
Safety and Handling
By clicking Submit, you acknowledge that you may be contacted by Fisher Scientific in regards to the feedback you have provided in this form. We will not share your information for any other purposes. All contact information provided shall also be maintained in accordance with our Privacy Policy.