Promotional price valid on web orders only. Your contract pricing may differ. Interested in signing up for a dedicated account number?
Learn More
Learn More
Invitrogen™ Phospho-PEA15 (Ser104) Polyclonal Antibody

Rabbit Polyclonal Antibody
Supplier: Invitrogen™ PA537767
Description
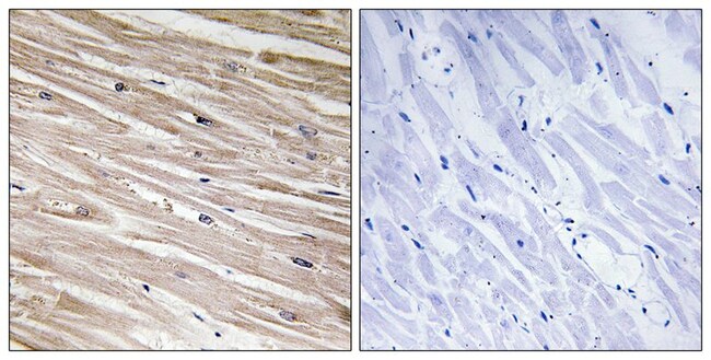
A suggested positive control for Western blot is COS7 cells; suggested positive control for IHC is human heart tissue.
PEA15 is a death effector domain (DED)-containing protein predominantly expressed in the central nervous system, particularly in astrocytes.
Specifications
| Phospho-PEA15 (Ser104) | |
| Polyclonal | |
| Unconjugated | |
| PEA15 | |
| 15 kDa phosphoprotein enriched in astrocytes; astrocytic phosphoprotein PEA-15; HMAT1; homolog of mouse MAT-1 oncogene; HUMMAT1H; mammary transforming gene 1; mammary transforming gene 1, mouse, homolog of; MAT1; MAT1H; OTTHUMP00000029887; Pea15; PEA-15; Pea15a; PED; phosphoprotein enriched in astrocytes 15; phosphoprotein enriched in astrocytes 15A; phosphoprotein enriched in diabetes; Pkcs15; proliferation and apoptosis adaptor protein 15 | |
| Rabbit | |
| Affinity chromatography | |
| RUO | |
| 18611, 364052, 8682 | |
| -20°C | |
| Liquid |
| Immunohistochemistry (Paraffin), Western Blot | |
| 1 mg/mL | |
| PBS with 50% glycerol and 0.02% sodium azide; pH 7.4 | |
| Q15121, Q5U318, Q62048 | |
| PEA15, Pea15a | |
| Peptide sequence around phosphorylation site of Serine 104(I-P-S(p)-A-K) derived from Human PEA-15. | |
| 100 μL | |
| Primary | |
| Human, Mouse, Rat | |
| Antibody | |
| IgG |
Product Content Correction
Your input is important to us. Please complete this form to provide feedback related to the content on this product.
Product Title
Spot an opportunity for improvement?Share a Content Correction