Promotional price valid on web orders only. Your contract pricing may differ. Interested in signing up for a dedicated account number?
Learn More
Learn More
Invitrogen™ Phospho-PERK (Thr982) Polyclonal Antibody

Rabbit Polyclonal Antibody
Supplier: Invitrogen™ PA537773
Description
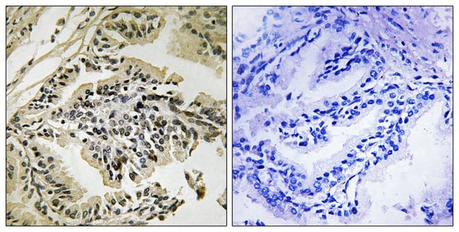
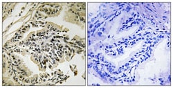
A suggested positive control for IHC is human prostate carcinoma.
EIF2AK3 (PERK) is one of 4 kinases that specifically phosphorylate Ser51 of translation initiation factor eIF2-alpha in response to various environmental stresses, leading to a decrease in protein sythesis. In the case of EIF2AK3, signaling is initiated by misfolded proteins in the ER. Defects in EIF2AK3 are the cause of Wolcott-Rallison syndrome (WRS), also known as multiple epiphyseal dysplasia with early-onset diabetes mellitus. WRS is a rare autosomal recessive disorder, characterized by permanent neonatal or early infancy insulin-dependent diabetes and, at a later age, epiphyseal dysplasia, osteoporosis, growth retardation and other multisystem manifestations, such as hepatic and renal dysfunctions, mental retardation and cardiovascular abnormalities.
Specifications
Phospho-PERK (Thr982) | |
Polyclonal | |
Unconjugated | |
EIF2AK3 | |
2.7.11.1; AI427929; EIF2AK3; eukaryotic translation initiation factor 2 alpha kinase 3; eukaryotic translation initiation factor 2-alpha kinase 3; HsPEK; OTTHUMP00000207187; OTTHUMP00000207188; Pancreatic eIF2-alpha kinase; PEK; Perk; PRKR-like endoplasmic reticulum kinase; WRS | |
Rabbit | |
Affinity chromatography | |
RUO | |
9451 | |
-20°C | |
Liquid |
Immunohistochemistry (Paraffin) | |
1 mg/mL | |
PBS with 50% glycerol and 0.02% sodium azide; pH 7.4 | |
Q9NZJ5 | |
EIF2AK3 | |
Peptide sequence around phosphorylation site of threonine 982(A-R-H(p)-T-G) derived from Human PEK/PERK. | |
100 μL | |
Primary | |
Human | |
Antibody | |
IgG |
Safety and Handling
WARNING: Cancer - www.P65Warnings.ca.gov
Product Content Correction
Your input is important to us. Please complete this form to provide feedback related to the content on this product.
Product Title
Spot an opportunity for improvement?Share a Content Correction