Promotional price valid on web orders only. Your contract pricing may differ. Interested in signing up for a dedicated account number?
Learn More
Learn More
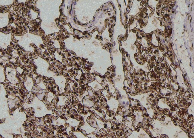
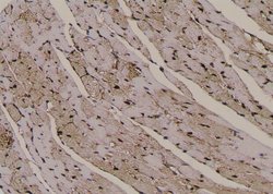
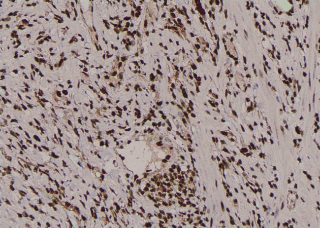
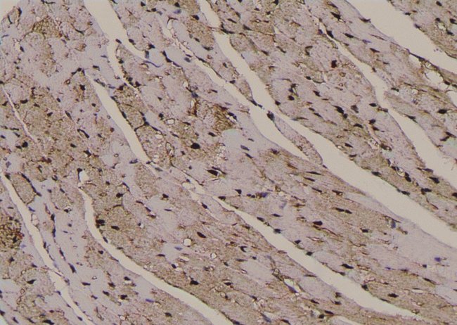
Invitrogen™ Phospho-PKC alpha (Tyr195) Polyclonal Antibody

Rabbit Polyclonal Antibody
Supplier: Invitrogen™ PA5105509
Description
Antibody detects endogenous levels of PKC alpha only when phosphorylated at Tyr195.
The PKC family of serine/threonine kinases, including PRKCA (PKC alpha), is activated intracellularly by signal transduction pathways. In humans, at least 12 different PKC polypeptides have been identified. These isoforms differ in primary structure, tissue distribution, subcellular localization, mode of action in vitro, response to extracellular signals, and substrate specificity. PKC alpha, beta I, beta II, and gamma form the conventional family; their activities are Ca2+- and phospholipid-dependent. Protein kinase C (PKC) can be activated by calcium and the second messenger diacylglycerol. PKC family members phosphorylate a wide variety of protein targets and are known to be involved in diverse cellular signaling pathways. PKC family members also serve as major receptors for phorbol esters, a class of tumor promoters. Each member of the PKC family has a specific expression profile and is believed to play a distinct role in cells. The protein encoded by this gene is one of the PKC family members. This kinase has been reported to play roles in many different cellular processes, such as cell adhesion, cell transformation, cell cycle checkpoint, and cell volume control. Knockout studies in mice suggest that this kinase may be a fundamental regulator of cardiac contractility and Ca(2+) handling in myocytes.
Specifications
| Phospho-PKC alpha (Tyr195) | |
| Polyclonal | |
| Unconjugated | |
| PRKACA | |
| AAG6; aging-associated gene 6; AI875142; EC 2.7.11.13; FHC; FTH; FTHL6; im:7139045; kinase PKC-alpha; KPCA; MGC104426; PIG15; PKC III; Pkca; PKC-A; PKC-alpha; PKC-III; PKRCA; PLIF; PRKACA; Prkca; prkcaa; protein kinase C; protein kinase C alpha; protein kinase C alpha type; protein kinase C alpha type; protein kinase C, alpha, a; protein kinase C, alpha; protein kinase C, alpha, a; protein kinase c-alpha; si:dkey-8l19.1; Unknown (protein for IMAGE:7139045); unnamed protein product | |
| Rabbit | |
| Sequential chromatography | |
| RUO | |
| 18747, 18750, 24680, 25636, 5566 | |
| -20°C | |
| Liquid |
| Immunohistochemistry (Paraffin), Western Blot, Immunocytochemistry | |
| 1 mg/mL | |
| PBS with 50% glycerol and 0.02% sodium azide; pH 7.4 | |
| P05132, P05696, P17252, P20444, P27791 | |
| PRKACA, PRKCA | |
| A synthesized peptide derived from human PRKCA(Accession P17252), corresponding to amino acid residues around phosphorylated Tyr195. | |
| 100 μL | |
| Primary | |
| Human, Mouse, Rat | |
| Antibody | |
| IgG |
Safety and Handling
WARNING: Cancer - www.P65Warnings.ca.gov
Product Content Correction
Your input is important to us. Please complete this form to provide feedback related to the content on this product.
Product Title
Spot an opportunity for improvement?Share a Content Correction