Promotional price valid on web orders only. Your contract pricing may differ. Interested in signing up for a dedicated account number?
Learn More
Learn More
Invitrogen™ Phospho-Presenilin 1 (Ser353) Polyclonal Antibody

Rabbit Polyclonal Antibody
Supplier: Invitrogen™ PA5118711
Description
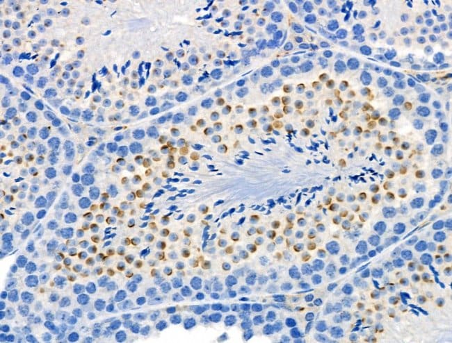
Antibody detects endogenous levels of Presenilin 1 only when phosphorylated at Ser353.
Presenilin1 was initially identified a marker of susceptibility to early-onset Alzheimer's disease. In addition to PEN2, nicastrin and APH-1, Presenilin1 forms the -gamma-secretase protein complex, a membrane-bound aspartyl protease that can cleave certain proteins at peptide bonds buried within the hydrophobic environment of the lipid bilayer. This cleavage is responsible for a key step in signaling from several cell-surface receptors and is thought to be required for the generation of the neurotoxic amyloid peptides that are central to the pathogenesis of Alzheimer's disease. Like the tumor necrosis factor-alpha-converting enzyme (TACE) and the beta-site cleavage enzyme (BACE) protease families, -gamma-secretase will cleave the amyloid precursor protein (APP), but within the intramembrane region of APP, resulting in either the non-toxic p3 (from the alpha and -gamma cleavage site) or the toxic Abeta amyloid peptide (from the beta and -gamma cleavage site). It is thought that accumulation of the Abeta peptide is the precursor to Alzheimer's disease. Multiple isoforms of presenilin1 are known to exist.
Specifications
| Phospho-Presenilin 1 (Ser353) | |
| Polyclonal | |
| Unconjugated | |
| PSEN1 | |
| AD3; Ad3h; Alzheimer Disease 3; FAD; Minilin; presenilin 1; presenilin 1 (Alzheimer disease 3); presenilin1; presenilin-1; Presenilin-1 CTF subunit; Presenilin-1 CTF12; Presenilin-1 NTF subunit; Protein S182; PS1; PS-1; PS1-CTF12; PSEN1; Psnl1; S182; S182 protein; Senilin 1 | |
| Rabbit | |
| Sequential chromatography | |
| RUO | |
| 19164, 29192, 5663 | |
| -20°C | |
| Liquid |
| Immunohistochemistry (Paraffin), Western Blot, Immunocytochemistry | |
| 1 mg/mL | |
| PBS with 50% glycerol and 0.02% sodium azide; pH 7.4 | |
| P49768, P49769, P97887 | |
| PSEN1 | |
| A synthesized peptide derived from human PSEN1(Accession P49768), corresponding to amino acid residues around phosphorylated Ser353. | |
| 100 μL | |
| Primary | |
| Human, Mouse, Rat | |
| Antibody | |
| IgG |
Safety and Handling
WARNING: Cancer - www.P65Warnings.ca.gov
Product Content Correction
Your input is important to us. Please complete this form to provide feedback related to the content on this product.
Product Title
Spot an opportunity for improvement?Share a Content Correction