Promotional price valid on web orders only. Your contract pricing may differ. Interested in signing up for a dedicated account number?
Learn More
Learn More
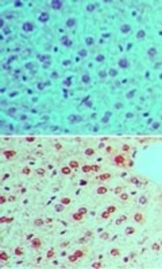
Invitrogen™ Phospho-RAD17 (Ser645) Polyclonal Antibody

Rabbit Polyclonal Antibody
Supplier: Invitrogen™ PA523330
Description
Phospho-RAD17 (Ser645) Polyclonal Antibody for Western Blot, IHC (P)
Rad17 is essential for sustained cell growth, maintenance of chromosomal stability, and ATR-dependent checkpoint activation upon DNA damage. It has a weak ATPase activity required for binding to chromatin. Rad17 also participates in the recruitment of the RAD1-RAD9-HUS1 complex and RHNO1 onto chromatin, and in CHEK1 activation. May also serve as a sensor of DNA replication progression, and may be involved in homologous recombination.
Specifications
| Phospho-RAD17 (Ser645) | |
| Polyclonal | |
| Unconjugated | |
| Rad17 | |
| CCYC; cell cycle checkpoint protein (RAD17); cell cycle checkpoint protein RAD17; DNA damage checkpoint control protein RAD17; DNA repair exonuclease RAD17; FLJ41520; hRad17; MmRad24; R24L; RAD1 homolog; RAD17; RAD17 (Ser647); RAD17 checkpoint clamp loader component; RAD17 homolog; RAD17 homolog (S. pombe); Rad17 like protein; Rad17-like protein; Rad17p; RAD17SP; RAD24; RF-C activator 1 homolog; RF-C/activator 1 homolog; YOR368W | |
| Rabbit | |
| Antigen affinity chromatography | |
| RUO | |
| 19356, 5884 | |
| -20°C, Avoid Freeze/Thaw Cycles | |
| Liquid |
| Immunohistochemistry (Paraffin), Western Blot | |
| 0.2 mg/mL | |
| PBS with 0.05% BSA and 0.05% sodium azide | |
| O75943, Q6NXW6 | |
| Rad17 | |
| A portion of human Rad17 protein containing a phosphorylated serine residue at position 645. | |
| 20 μg | |
| Primary | |
| Human, Mouse, Monkey | |
| Antibody | |
| IgG |
Safety and Handling
WARNING: Cancer - www.P65Warnings.ca.gov
Product Content Correction
Your input is important to us. Please complete this form to provide feedback related to the content on this product.
Product Title
Spot an opportunity for improvement?Share a Content Correction