Promotional price valid on web orders only. Your contract pricing may differ. Interested in signing up for a dedicated account number?
Learn More
Learn More
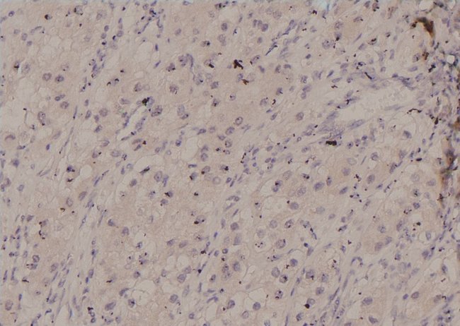
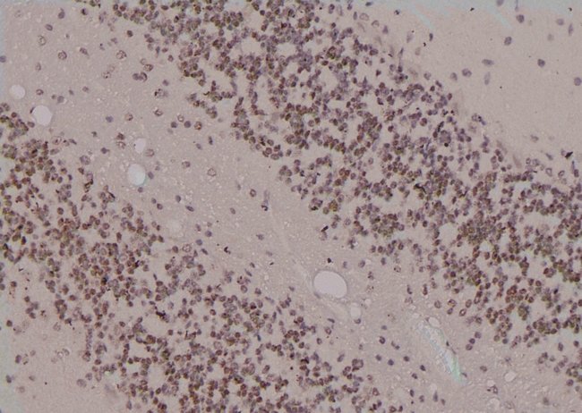
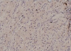
Invitrogen™ Phospho-RAD17 (Ser86) Polyclonal Antibody

Rabbit Polyclonal Antibody
Supplier: Invitrogen™ PA5105435
Description
Antibody detects endogenous levels of RAD17 only when phosphorylated at Ser86.
Rad17 is essential for sustained cell growth, maintenance of chromosomal stability, and ATR-dependent checkpoint activation upon DNA damage. It has a weak ATPase activity required for binding to chromatin. Rad17 also participates in the recruitment of the RAD1-RAD9-HUS1 complex and RHNO1 onto chromatin, and in CHEK1 activation. May also serve as a sensor of DNA replication progression, and may be involved in homologous recombination.
Specifications
| Phospho-RAD17 (Ser86) | |
| Polyclonal | |
| Unconjugated | |
| Rad17 | |
| CCYC; cell cycle checkpoint protein (RAD17); cell cycle checkpoint protein RAD17; DNA damage checkpoint control protein RAD17; DNA repair exonuclease RAD17; FLJ41520; hRad17; MmRad24; R24L; RAD1 homolog; RAD17; RAD17 (Ser647); RAD17 checkpoint clamp loader component; RAD17 homolog; RAD17 homolog (S. pombe); Rad17 like protein; Rad17-like protein; Rad17p; RAD17SP; RAD24; RF-C activator 1 homolog; RF-C/activator 1 homolog; YOR368W | |
| Rabbit | |
| Sequential chromatography | |
| RUO | |
| 19356, 310034, 5884 | |
| -20°C | |
| Liquid |
| Immunohistochemistry (Paraffin), Western Blot, Immunocytochemistry | |
| 1 mg/mL | |
| PBS with 50% glycerol and 0.02% sodium azide; pH 7.4 | |
| O75943, Q6NXW6 | |
| Rad17 | |
| A synthesized peptide derived from human RAD17(Accession O75943), corresponding to amino acid residues around phosphorylated Ser86. | |
| 100 μL | |
| Primary | |
| Human, Mouse, Rat | |
| Antibody | |
| IgG |
Safety and Handling
WARNING: Cancer - www.P65Warnings.ca.gov
Product Content Correction
Your input is important to us. Please complete this form to provide feedback related to the content on this product.
Product Title
Spot an opportunity for improvement?Share a Content Correction