Promotional price valid on web orders only. Your contract pricing may differ. Interested in signing up for a dedicated account number?
Learn More
Learn More
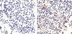
Invitrogen™ Phospho-Rb (Ser780) Recombinant Superclonal™ Antibody (13HCLC)
Rabbit Recombinant Superclonal Antibody
Supplier: Invitrogen™ 710296
Description
Phospho-Rb (Ser780) Recombinant Polyclonal Antibody for Western Blot, ICC/IF, IHC (P)
Rb is a tumor suppressor nuclear phosphoprotein capable of binding to DNA. It is phosphorylated on serine and threonine, but not on tyrosine residues. It forms a complex with SV40 large T antigen, adenovirus E1A, and human papilloma virus-16 E. Rb protein may act by regulating transcription and loss of its function leads to uncontrolled cell growth. Aberrations in the RB gene have been implicated in cancers of breast, colon, prostate, kidney, nasopharynx, and leukemia.
Specifications
Phospho-Rb (Ser780) | |
Recombinant Superclonal | |
0.5 mg/mL | |
PBS with 0.09% sodium azide | |
P06400 | |
RB1 | |
Phosphopeptide corresponding to amino acids 775-786 of human Retinoblastoma [pS780]. | |
100 μg | |
Primary | |
Human | |
Antibody | |
IgG |
Immunohistochemistry (Paraffin), Western Blot, Immunocytochemistry | |
13HCLC | |
Unconjugated | |
RB1 | |
Cleaved Rb; delta RB-p70; DRb-p70; exon 17 tumor GOS561 substitution mutation causes premature stop; GOS563 exon 17 substitution mutation causes premature stop; OSRC; p104; p104 chicken Rb; P105RB; p105-Rb; Phospho-Retinoblastoma; pp105; pp110; PPP1R130; pRb; prepro-retinoblastoma-associated protein; protein phosphatase 1, regulatory subunit 130; rb; RB transcriptional corepressor 1; RB1; Rb-1; Rb-p70; Retin; Retinoblastoma; retinoblastoma 1; retinoblastoma 1 (including osteosarcoma); retinoblastoma 1 protein; retinoblastoma gene; retinoblastoma isoform A; retinoblastoma protein; retinoblastoma suspectibility protein; retinoblastoma tumor suppressor; retinoblastoma-associated protein | |
Rabbit | |
Protein A | |
RUO | |
5925 | |
Store at 4°C short term. For long term storage, store at -20°C, avoiding freeze/thaw cycles. | |
Liquid |
Product Content Correction
Your input is important to us. Please complete this form to provide feedback related to the content on this product.
Product Title
Spot an opportunity for improvement?Share a Content Correction