Promotional price valid on web orders only. Your contract pricing may differ. Interested in signing up for a dedicated account number?
Learn More
Learn More
Invitrogen™ Phospho-Rb (Ser807) Polyclonal Antibody

Rabbit Polyclonal Antibody
Supplier: Invitrogen™ PA537716
Description
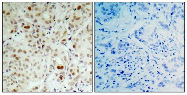
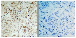
A suggested positive control for Western blot is NIH-3T3 cells; suggested positive control for IHC is human breast carcinoma.
Rb is a tumor suppressor nuclear phosphoprotein capable of binding to DNA. It is phosphorylated on serine and threonine, but not on tyrosine residues. It forms a complex with SV40 large T antigen, adenovirus E1A, and human papilloma virus-16 E. Rb protein may act by regulating transcription and loss of its function leads to uncontrolled cell growth. Aberrations in the RB gene have been implicated in cancers of breast, colon, prostate, kidney, nasopharynx, and leukemia.
Specifications
| Phospho-Rb (Ser807) | |
| Polyclonal | |
| Unconjugated | |
| RB1 | |
| Cleaved Rb; delta RB-p70; DRb-p70; exon 17 tumor GOS561 substitution mutation causes premature stop; GOS563 exon 17 substitution mutation causes premature stop; OSRC; p104; p104 chicken Rb; P105RB; p105-Rb; Phospho-Retinoblastoma; pp105; pp110; PPP1R130; pRb; prepro-retinoblastoma-associated protein; protein phosphatase 1, regulatory subunit 130; rb; RB transcriptional corepressor 1; RB1; Rb-1; Rb-p70; Retin; Retinoblastoma; retinoblastoma 1; retinoblastoma 1 (including osteosarcoma); retinoblastoma 1 protein; retinoblastoma gene; retinoblastoma isoform A; retinoblastoma protein; retinoblastoma suspectibility protein; retinoblastoma tumor suppressor; retinoblastoma-associated protein | |
| Rabbit | |
| Affinity chromatography | |
| RUO | |
| 19645, 24708, 5925 | |
| -20°C | |
| Liquid |
| Immunohistochemistry (Paraffin), Western Blot | |
| 1 mg/mL | |
| PBS with 50% glycerol and 0.02% sodium azide; pH 7.4 | |
| P06400, P13405, P33568 | |
| RB1 | |
| Peptide sequence around phosphorylation site of serine 807 (Y-I-S(p)-P-L) derived from Human Rb. | |
| 100 μL | |
| Primary | |
| Human, Mouse, Rat | |
| Antibody | |
| IgG |
Safety and Handling
WARNING: Cancer - www.P65Warnings.ca.gov
Product Content Correction
Your input is important to us. Please complete this form to provide feedback related to the content on this product.
Product Title
Spot an opportunity for improvement?Share a Content Correction