Promotional price valid on web orders only. Your contract pricing may differ. Interested in signing up for a dedicated account number?
Learn More
Learn More
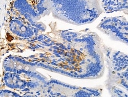
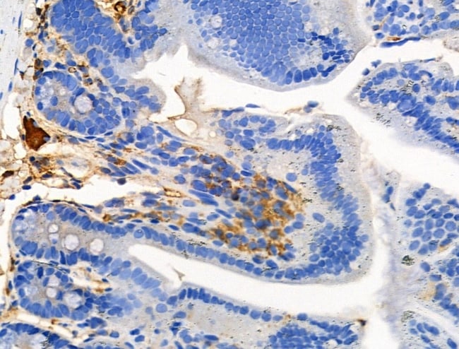
Invitrogen™ Phospho-ROCK1 (Tyr913) Polyclonal Antibody

Rabbit Polyclonal Antibody
Supplier: Invitrogen™ PA5105054
Description
Antibody detects endogenous levels of ROCK1 only when phosphorylated at Tyr913.
ROCK1 is a serine/threonine kinase that regulates cell differentiation and migration. The Rho/ROCK pathway is involved in the progression of various human cancers. ROCK1 has been found to be a new Caspase-3 substrate. ROCK, one of the effectors of the small GTPase Rho, has recently been shown to contribute significantly to myosin light chain (MLC) activation through two pathways: direct phosphorylation of MLC and phosphorylation of MLC phosphatase, leading to its inhibition. The increase in cellular contractility that is necessary for apoptotic membrane blebbing implies sustained augmentation of MLC phosphorylation. ROCK-1 consists of an amino-terminal kinase domain and an inhibitory cysteine/histidine-rich C-terminal domain that is located within a pleckstrin-homology region. They are joined by a variable region that contains the Rho-binding domain. During apoptosis, ROCK-I is cleaved by caspase-3 at a conserved DETD1113/G sequence and its carboxy-terminal inhibitory domain is removed, resulting in deregulated and constitutive kinase activity. The caspase-3-mediated cleavage and activation of ROCK I induces phosphorylation of MLC and membrane blebbing, one of the first events in the execution phase of apoptosis.
Specifications
| Phospho-ROCK1 (Tyr913) | |
| Polyclonal | |
| Unconjugated | |
| Rock1 | |
| 1110055K06Rik; Ac2-154; Liver regeneration-related protein LRRG199; MGC131603; MGC43611; p150 RhoA-binding kinase ROK beta; p160 ROCK-1; p160ROCK; p160-ROCK; PRO0435; Renal carcinoma antigen NY-REN-35; Rho associated coiled-coil containing protein kinase 1; Rho kinase; Rho-associated coiled-coil containing protein kinase 1; Rho-associated coiled-coil forming kinase 1; Rho-associated kinase beta; rho-associated protein kinase 1; Rho-associated, coiled-coil containing protein kinase 1; rho-associated, coiled-coil-containing protein kinase 1; Rho-associated, coiled-coil-containing protein kinase I; ROCK1; ROCK-I | |
| Rabbit | |
| Sequential Chromatography | |
| RUO | |
| 19877, 6093, 81762 | |
| -20°C | |
| Liquid |
| Immunohistochemistry (Paraffin), Western Blot, Immunocytochemistry | |
| 1 mg/mL | |
| PBS with 50% glycerol and 0.02% sodium azide; pH 7.4 | |
| P70335, Q13464, Q63644 | |
| Rock1 | |
| A synthesized peptide derived from human ROCK1(Accession Q13464), corresponding to amino acid residues around phosphorylated Tyr913. | |
| 100 μL | |
| Primary | |
| Human, Mouse, Rat | |
| Antibody | |
| IgG |
Safety and Handling
WARNING: Cancer - www.P65Warnings.ca.gov
Product Content Correction
Your input is important to us. Please complete this form to provide feedback related to the content on this product.
Product Title
Spot an opportunity for improvement?Share a Content Correction