Promotional price valid on web orders only. Your contract pricing may differ. Interested in signing up for a dedicated account number?
Learn More
Learn More
Invitrogen™ Phospho-ROCK2 (Ser1366) Polyclonal Antibody

Rabbit Polyclonal Antibody
Supplier: Invitrogen™ PA5105417
Description
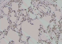
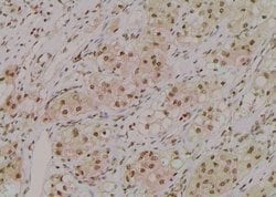
Antibody detects endogenous levels of ROCK2 only when phosphorylated at Ser1366.
ROCK2, the predominant ROCK isoform in skeletal muscle, is an important regulator downstream of Rho GTPases. ROCK2 regulates cytokinesis, smooth muscle contraction, the formation of actin stress fibers and focal adhesions, and the activation of the c-fos serum response element. This protein, which is an isozyme of ROCK1 is a target for the small GTPase Rho.
Specifications
| Phospho-ROCK2 (Ser1366) | |
| Polyclonal | |
| Unconjugated | |
| ROCK2 | |
| B230113H15Rik; KIAA0619; mKIAA0619; p150 ROK-alpha; p164 ROCK-2; Rho associated coiled-coil containing protein kinase 2; Rho kinase 2; RhoA - binding serine/threosine kinase alpha (ROK - alpha); rhoA-binding kinase 2; Rho-associated coiled-coil containing protein kinase 2; Rho-associated coiled-coil forming kinage 2; Rho-associated coiled-coil forming kinase 2; rho-associated protein kinase 2; Rho-associated, coiled-coil-containing protein kinase 2; rho-associated, coiled-coil-containing protein kinase II; Rho-kinase; ROCK II; Rock2; Rock2m; rockii; ROCK-II; ROK; ROKalpha | |
| Rabbit | |
| Sequential Chromatography | |
| RUO | |
| 19878, 25537, 9475 | |
| -20°C | |
| Liquid |
| Immunohistochemistry (Paraffin), Western Blot, Immunocytochemistry | |
| 1 mg/mL | |
| PBS with 50% glycerol and 0.02% sodium azide; pH 7.4 | |
| O75116, P70336, Q62868 | |
| ROCK2 | |
| A synthesized peptide derived from human ROCK2(Accession O75116), corresponding to amino acid residues around phosphorylated Ser1366. | |
| 100 μL | |
| Primary | |
| Human, Mouse, Rat | |
| Antibody | |
| IgG |
Safety and Handling
WARNING: Cancer - www.P65Warnings.ca.gov
Product Content Correction
Your input is important to us. Please complete this form to provide feedback related to the content on this product.
Product Title
Spot an opportunity for improvement?Share a Content Correction