Learn More
Invitrogen™ Phospho-RSK1 (Thr573) Polyclonal Antibody

Description
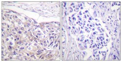
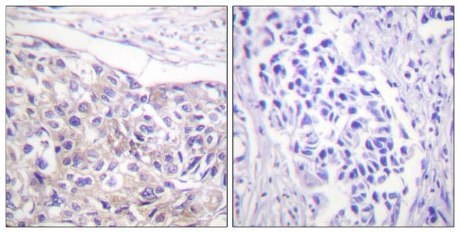
A suggested positive control for Western blot is 293 cells; suggested positive control for IHC is human breast carcinoma.
Specifications
Specifications
| Antigen | Phospho-RSK1 (Thr573) |
| Applications | Immunohistochemistry (Paraffin), Western Blot |
| Classification | Polyclonal |
| Concentration | 1 mg/mL |
| Conjugate | Unconjugated |
| Formulation | PBS with 50% glycerol and 0.02% sodium azide; pH 7.4 |
| Gene | RPS6KA1 |
| Gene Accession No. | Q15418 |
| Gene Alias | 90 kDa ribosomal protein S6 kinase 1; dJ590P13.1 (ribosomal protein S6 kinase, 90kD, polypeptide 1); hu-1; MAP kinase-activated protein kinase 1; MAP kinase-activated protein kinase 1a; MAPK-activated protein kinase 1; MAPK-activated protein kinase 1a; MAPKAP kinase 1; MAPKAP kinase 1a; MAPKAPK-1; mapkapk1a; MAPKAPK-1a; p90Rsk; P90-RSK; p90-RSK 1; p90Rsk1; p90-Rsk1; p90S6K; pp90RSK1; ribosomal protein S6 kinase 2 alpha; ribosomal protein S6 kinase 2 beta; ribosomal protein S6 kinase a, polypeptide 1; ribosomal protein S6 kinase A1; ribosomal protein S6 kinase A1 L homeolog; ribosomal protein S6 kinase alpha 1; Ribosomal protein S6 kinase alpha-1; Ribosomal protein S6 kinase II alpha; ribosomal protein S6 kinase II beta; ribosomal protein S6 kinase polypeptide 1; ribosomal protein S6 kinase, 90kD, polypeptide 1; Ribosomal protein S6 kinase, 90kD, 1; ribosomal protein S6 kinase, 90kDa, polypeptide 1; ribosomal protein S6 kinase, 90kDa, polypeptide 1 L homeolog; ribosomal protein S6 kinase, polypeptide A1; ribosomal S6 kinase 1; RPS6KA; Rps6ka1; rps6ka1.L; RPS6KA1L; rsk; RSK1; Rsk-1; S6 kinase II beta; S6 protein kinase (Rsk-1); S6K-alpha 1; S6K-alpha-1; S6KII-alpha; S6KII-beta; wu:fc56h07; XELAEV_18012109mg; zgc:152654 |
| Gene Symbols | RPS6KA1 |
| Show More |
By clicking Submit, you acknowledge that you may be contacted by Fisher Scientific in regards to the feedback you have provided in this form. We will not share your information for any other purposes. All contact information provided shall also be maintained in accordance with our Privacy Policy.