Learn More
Invitrogen™ Phospho-S6 (Ser235, Ser236) Monoclonal Antibody (SP50)

Rabbit Monoclonal Antibody
Supplier: Invitrogen™ MA516397
Description
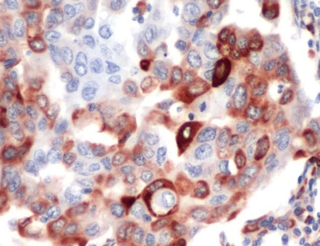
Heat-mediated antigen retrieval is recommended prior to staining, using a 10mM citrate buffer, pH 6.0, for 10 minutes followed by cooling at room temperature for 20 min. Following antigen retrieval, incubate samples with primary antibody for 30 min at room temperature. A suggested positive control is breast ductal carcinoma.
Ribosomes, the organelles that catalyze protein synthesis, consist of a small 40S subunit and a large 60S subunit. Together these subunits are composed of 4 RNA species and approximately 80 structurally distinct proteins. This gene encodes a cytoplasmic ribosomal protein that is a component of the 40S subunit. The protein belongs to the S6E family of ribosomal proteins. It is the major substrate of protein kinases in the ribosome, with subsets of five C-terminal serine residues phosphorylated by different protein kinases. Phosphorylation is induced by a wide range of stimuli, including growth factors, tumor-promoting agents, and mitogens. Dephosphorylation occurs at growth arrest. The protein may contribute to the control of cell growth and proliferation through the selective translation of particular classes of mRNA. As is typical for genes encoding ribosomal proteins, there are multiple processed pseudogenes of this gene dispersed through the genome.
Specifications
| Phospho-S6 (Ser235, Ser236) | |
| Monoclonal | |
| 0.054 mg/mL | |
| PBS with 1% BSA and 0.1% sodium azide; pH 7.6 | |
| P62753 | |
| RPS6 | |
| Synthetic peptide derived from the region of human S6 ribosomal that contains phosphorylated serines 235 and 236. | |
| 500 μL | |
| Primary | |
| Human | |
| Antibody | |
| IgG |
| Dot Blot, Flow Cytometry, Immunohistochemistry (Paraffin), Western Blot, Immunocytochemistry | |
| SP50 | |
| Unconjugated | |
| RPS6 | |
| (Rp)S6; 40S ribosomal protein S6; air[8]; air8; anon-WO02059370.61; CG10944; CG10944-PA; CG10944-PB; Dmel\CG10944; Dmel_CG10944; DS6; hemocytes enlarged; hen; l(1)air[8]; l(1)air8; l(1)hen; LD31286p; lethal(1)aberrant immune response[8]; lethal-(1)-haemocytes enlarged; lethal-aberrant-immune-response-8; M(1)7BC; M(1)7C; minute; minute (1) 7BC; OK/SW-cl.2; OTTHUMP00000021121; OTTHUMP00000021122; Phosphoprotein NP33; pp30; ribosomal protein S6; Rp S6; RP11-513M16.6; RPS6; RpS6-PA; RpS6-PB; RS6; S6; S6 ribosomal protein; S6R; Small ribosomal subunit protein eS6; wu:fa92e06; wu:fb64g06; zgc:92237 | |
| Rabbit | |
| Protein A/G | |
| RUO | |
| 6194 | |
| 4°C, do not freeze | |
| Liquid |
Your input is important to us. Please complete this form to provide feedback related to the content on this product.