Promotional price valid on web orders only. Your contract pricing may differ. Interested in signing up for a dedicated account number?
Learn More
Learn More
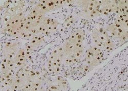
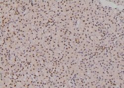
Invitrogen™ Phospho-SF3B1 (Thr211) Polyclonal Antibody

Rabbit Polyclonal Antibody
Supplier: Invitrogen™ PA5105427
Description
Antibody detects endogenous levels of SF3B1 only when phosphorylated at Thr211.
This gene encodes subunit 1 of the splicing factor 3b protein complex. Splicing factor 3b, together with splicing factor 3a and a 12S RNA unit, forms the U2 small nuclear ribonucleoproteins complex. The splicing factor 3b/3a complex binds pre-mRNA upstream of the intron's branch site in a sequence independent manner and may anchor the U2 snRNP to the pre-mRNA. Splicing factor 3b is also a component of the minor U12-type spliceosome. The carboxy-terminal two-thirds of subunit 1 have 22 non-identical, tandem HEAT repeats that form rod-like, helical structures. Alternative splicing results in multiple transcript variants encoding different isoforms.
Specifications
| Phospho-SF3B1 (Thr211) | |
| Polyclonal | |
| Unconjugated | |
| SF3B1 | |
| 155kDa; 2810001M05Rik; AA409119; Hsh155; LOW QUALITY PROTEIN: splicing factor 3B subunit 1; MDS; pre-mRNA processing 10; pre-mRNA splicing factor SF3b, 155 kDa subunit; pre-mRNA-splicing factor SF3b 155 kDa subunit; PRP10; PRPF10; SAP 155; SAP155; SF3B1; SF3b155; spliceosome-associated protein 155; Splicing factor 3B subunit 1; splicing factor 3b subunit 1, 155kDa; splicing factor 3b, subunit 1; splicing factor 3b, subunit 1, 155 kDa; splicing factor 3b, subunit 1, 155kD; splicing factor 3b, subunit 1, 155kDa; TA-8; Targ4; transforming growth factor alpha regulated gene 4; tst; wu:fb99f09 | |
| Rabbit | |
| Sequential chromatography | |
| RUO | |
| 23451, 81898, 84486 | |
| -20°C | |
| Liquid |
| Immunohistochemistry (Paraffin), Western Blot | |
| 1 mg/mL | |
| PBS with 50% glycerol and 0.02% sodium azide; pH 7.4 | |
| O75533, Q99NB9 | |
| SF3B1 | |
| A synthesized peptide derived from human SF3B1(Accession O75533), corresponding to amino acid residues around phosphorylated Thr211. | |
| 100 μL | |
| Primary | |
| Human, Mouse, Rat | |
| Antibody | |
| IgG |
Safety and Handling
WARNING: Cancer - www.P65Warnings.ca.gov
Product Content Correction
Your input is important to us. Please complete this form to provide feedback related to the content on this product.
Product Title
Spot an opportunity for improvement?Share a Content Correction