Promotional price valid on web orders only. Your contract pricing may differ. Interested in signing up for a dedicated account number?
Learn More
Learn More
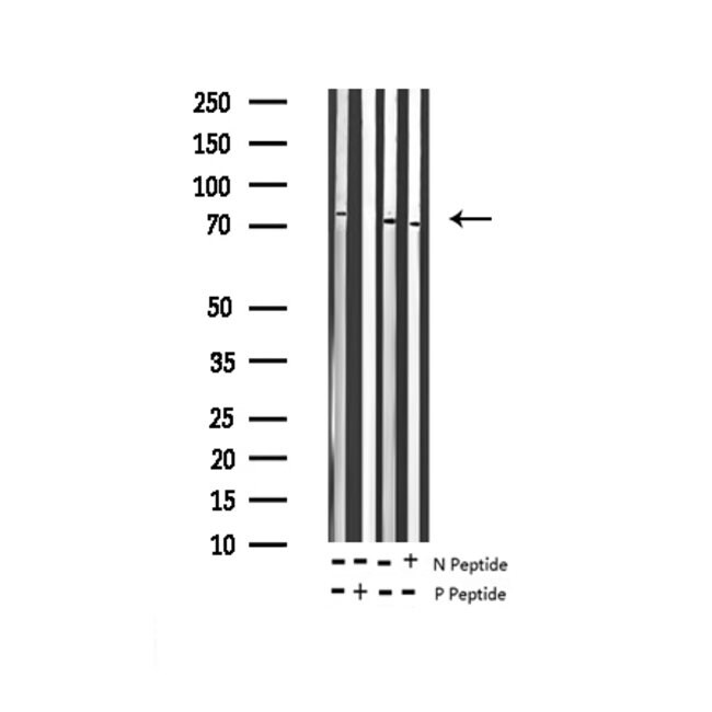
Phospho-SHP2 (Tyr542) Polyclonal Antibody

Phospho-SHP2 (Tyr542, Tyr546) Polyclonal Antibody
Supplier: Thermo Scientific PA5114641
Description
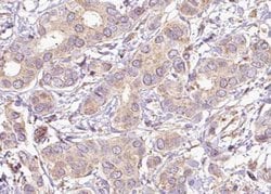
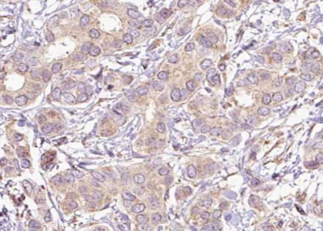
Phospho-SHP2 (Tyr542, Tyr546) Polyclonal Antibody for Western Blot, ICC/IF, IHC (PFA)
Specifications
| Phospho-SHP2 (Tyr542) | |
| Polyclonal | |
| Unconjugated | |
| PTPN11 | |
| 2700084A17Rik; AW536184; bptp3; CFC; cSH-PTP2; encodes catalytic domain; HCP; HGNC:9644; JMML; METCDS; MGC14433; Noonan syndrome 1; ns1; null; OTTHUMP00000166108; phosphotyrosyl-protein phosphatase; protein tyrosine phosphatase non-receptor type 11; protein tyrosine phosphatase SH-PTP2; protein tyrosine phosphatase, non-receptor type 11; protein tyrosine phosphatase, non-receptor type 11 (Noonan syndrome 1); protein tyrosine phosphatase, non-receptor type 11 S homeolog; protein-tyrosine phosphatase 1D; Protein-tyrosine phosphatase 2C; protein-tyrosine phosphatase SYP; PTP1C; PTP1D; PTP-1D; ptp-2; PTP2C; PTP-2C; Ptpn11; ptpn11.S; ptpn11-a; ptpn11-b; SAP-2; SH2 domain-containing protein tyrosine phosphatase-2; Shp2; shp-2; SHPTP2; SH-PTP2; SH-PTP2 protein tyrosine phosphatase non-receptor type 11; SH-PTP2 protein tyrosine phosphatase, non-receptor type 11; SH-PTP3; Syp; Tyrosine-protein phosphatase non-receptor type 11; XELAEV_18010676mg | |
| Rabbit | |
| Sequential Chromatography | |
| RUO | |
| 19247, 25622, 5781 | |
| -20°C | |
| Liquid |
| Immunohistochemistry (Paraffin), Western Blot, Immunocytochemistry | |
| 1 mg/mL | |
| PBS with 50% glycerol and 0.02% sodium azide | |
| P35235, P41499, Q06124 | |
| PTPN11 | |
| A synthesized peptide derived from human PTPN11(Accession Q06124), corresponding to amino acid residues around phosphorylated Tyr546. | |
| 100 μL | |
| Primary | |
| Human, Mouse, Rat | |
| Antibody | |
| IgG |
Safety and Handling
WARNING: Cancer - www.P65Warnings.ca.gov
Product Content Correction
Your input is important to us. Please complete this form to provide feedback related to the content on this product.
Product Title
Spot an opportunity for improvement?Share a Content Correction