Promotional price valid on web orders only. Your contract pricing may differ. Interested in signing up for a dedicated account number?
Learn More
Learn More
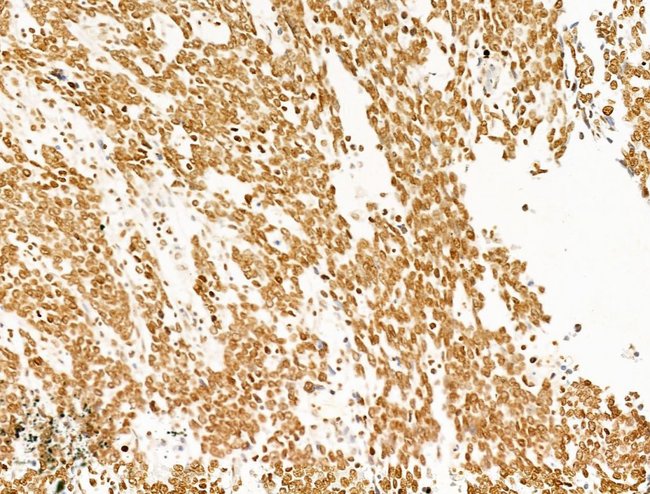
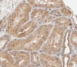
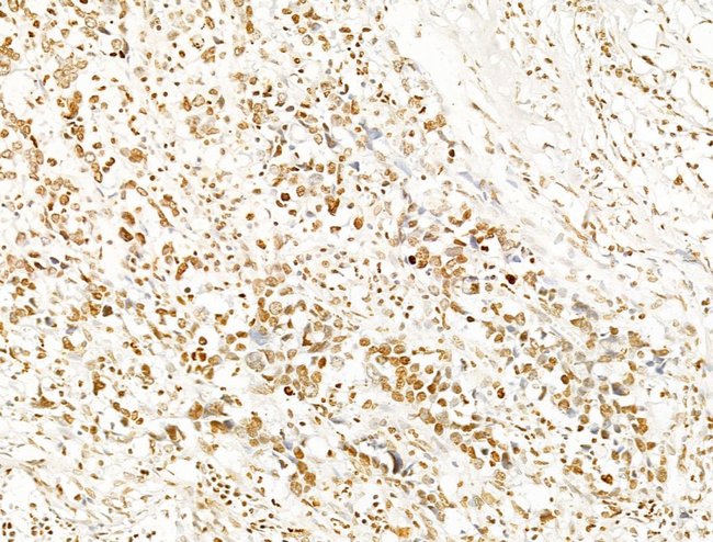
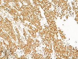
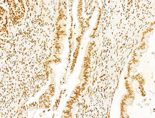
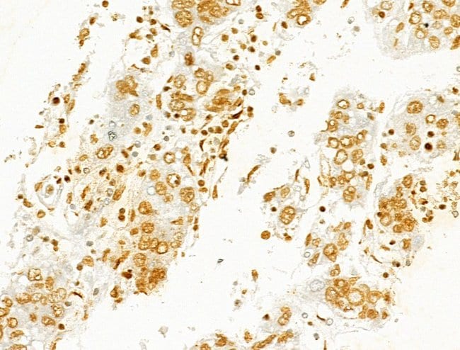
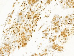
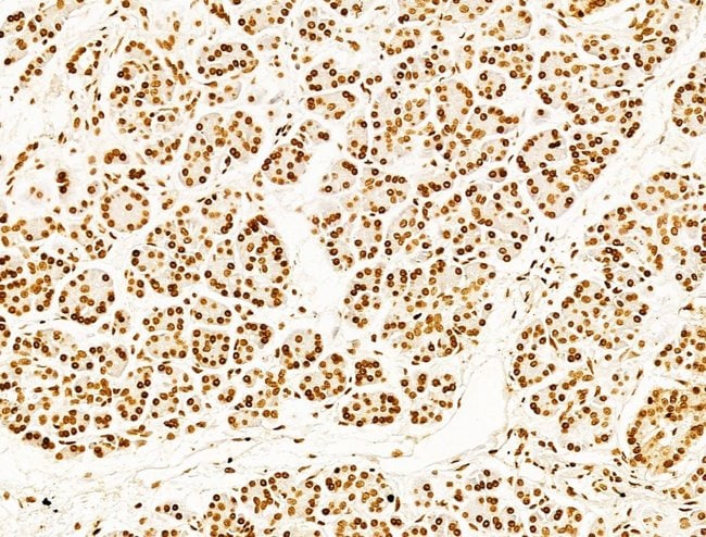
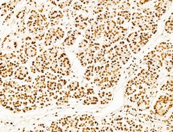
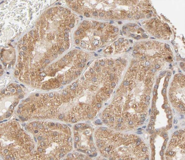
Invitrogen™ Phospho-SHP2 (Tyr580) Polyclonal Antibody

Rabbit Polyclonal Antibody
Supplier: Invitrogen™ PA5114642
Description
Antibody detects endogenous levels of SHP2 only when phosphorylated at Tyr584, which site historically referenced as Tyr580.
The protein encoded by this gene is a member of the protein tyrosine phosphatase (PTP) family. PTPs are known to be signaling molecules that regulate a variety of cellular processes including cell growth, differentiation, mitotic cycle, and oncogenic transformation. This PTP contains two tandem Src homology-2 domains, which function as phospho-tyrosine binding domains and mediate the interaction of this PTP with its substrates. This PTP is widely expressed in most tissues and plays a regulatory role in various cell signaling events that are important for a diversity of cell functions, such as mitogenic activation, metabolic control, transcription regulation, and cell migration. Mutations in this gene are a cause of Noonan syndrome as well as acute myeloid leukemia.
Specifications
Phospho-SHP2 (Tyr580) | |
Polyclonal | |
Unconjugated | |
PTPN11 | |
2700084A17Rik; AW536184; bptp3; CFC; cSH-PTP2; encodes catalytic domain; HCP; HGNC:9644; JMML; METCDS; MGC14433; Noonan syndrome 1; ns1; null; OTTHUMP00000166108; phosphotyrosyl-protein phosphatase; protein tyrosine phosphatase non-receptor type 11; protein tyrosine phosphatase SH-PTP2; protein tyrosine phosphatase, non-receptor type 11; protein tyrosine phosphatase, non-receptor type 11 (Noonan syndrome 1); protein tyrosine phosphatase, non-receptor type 11 S homeolog; protein-tyrosine phosphatase 1D; Protein-tyrosine phosphatase 2C; protein-tyrosine phosphatase SYP; PTP1C; PTP1D; PTP-1D; ptp-2; PTP2C; PTP-2C; Ptpn11; ptpn11.S; ptpn11-a; ptpn11-b; SAP-2; SH2 domain-containing protein tyrosine phosphatase-2; Shp2; shp-2; SHPTP2; SH-PTP2; SH-PTP2 protein tyrosine phosphatase non-receptor type 11; SH-PTP2 protein tyrosine phosphatase, non-receptor type 11; SH-PTP3; Syp; Tyrosine-protein phosphatase non-receptor type 11; XELAEV_18010676mg | |
Rabbit | |
Sequential Chromatography | |
RUO | |
19247, 25622, 5781 | |
-20°C | |
Liquid |
Immunohistochemistry (Paraffin), Western Blot, Immunocytochemistry | |
1 mg/mL | |
PBS with 50% glycerol and 0.02% sodium azide | |
P35235, P41499, Q06124 | |
PTPN11 | |
A synthesized peptide derived from human PTPN11(Accession Q06124), corresponding to amino acid residues around phosphorylated Tyr584. | |
100 μL | |
Primary | |
Human, Mouse, Rat | |
Antibody | |
IgG |
Safety and Handling
WARNING: Cancer - www.P65Warnings.ca.gov
Product Content Correction
Your input is important to us. Please complete this form to provide feedback related to the content on this product.
Product Title
Spot an opportunity for improvement?Share a Content Correction