Learn More
Invitrogen™ Phospho-SMAD3 (Ser425) Polyclonal Antibody

Description
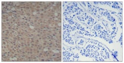
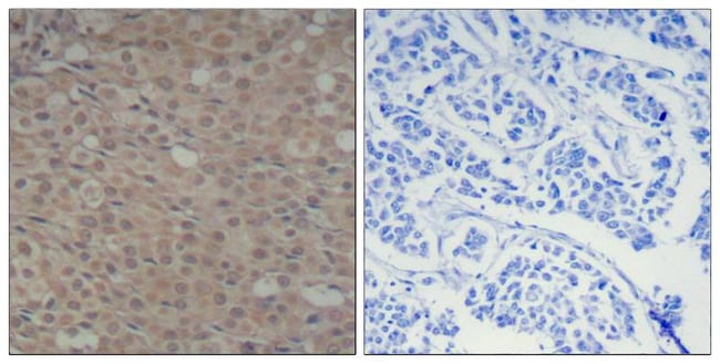
A suggested positive control for Western blot is Hela cells; suggested positive control for IHC is human breast carcinoma.
Specifications
Specifications
| Antigen | Phospho-SMAD3 (Ser425) |
| Applications | Immunohistochemistry (Paraffin), Western Blot |
| Classification | Polyclonal |
| Concentration | 1 mg/mL |
| Conjugate | Unconjugated |
| Formulation | PBS with 50% glycerol and 0.02% sodium azide; pH 7.4 |
| Gene | Smad3 |
| Gene Accession No. | P84022, P84025, Q8BUN5 |
| Gene Alias | AU022421; DKFZp586N0721; DKFZp686J10186; hMAD-3; hSMAD3; HSPC193; HsT17436; JV15-2; LDS1C; LDS3; MAD (mothers against decapentaplegic, Drosophila) homolog 3; MAD homolog 3; MAD homolog 3a; mad homolog JV15-2; mad protein homolog; MAD, mothers against decapentaplegic homolog 3; mad3; MAD-3; madh3; madh3a; madh3-A; MGC60396; mMad3; mothers against decapentaplegic homolog 3; mothers against decapentaplegic homolog 3a; mothers against DPP homolog 3; SMA- and MAD-related protein 3; SMAD; Smad 3; SMAD family member 3; SMAD family member 3 L homeolog; SMAD family member 3a; SMAD, mothers against DPP homolog 3; Smad3; smad3.L; smad3a; TGF beta response effector Smad3; TGF-beta response effector Smad3; transcription factor; transcription factor Smad3; wu:fa99e03; XELAEV_18018454mg; XenMLP; Xmad3; XSmad3 |
| Gene Symbols | Smad3 |
| Show More |
Safety and Handling
By clicking Submit, you acknowledge that you may be contacted by Fisher Scientific in regards to the feedback you have provided in this form. We will not share your information for any other purposes. All contact information provided shall also be maintained in accordance with our Privacy Policy.