Promotional price valid on web orders only. Your contract pricing may differ. Interested in signing up for a dedicated account number?
Learn More
Learn More
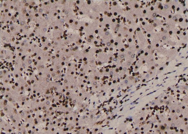
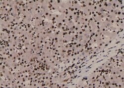
Invitrogen™ Phospho-SOX2 (Ser249, Ser250) Polyclonal Antibody

Rabbit Polyclonal Antibody
Supplier: Invitrogen™ PA5105708
Description
Antibody detects endogenous levels of SOX2 only when phosphorylated at Ser249/250.
SOX2 is an intronless gene encoding a member of the SRY-related HMG-box (SOX) family of transcription factors involved in the regulation of embryonic development and in the determination of cell fate. The product of the SOX2 gene is required for stem-cell maintenance in the central nervous system, and also regulates gene expression in the stomach. The SOX2 gene lies within an intron of another gene called SOX2 overlapping transcript (SOX2OT). Further, SOX2 protein may act as a transcriptional activator after forming a protein complex with other proteins. Mutations in the SOX2 gene have been associated with bilateral anophthalmia, a severe form of structural eye malformation, optic nerve hypoplasia and syndromic microphthalmia.
Specifications
| Phospho-SOX2 (Ser249, Ser250) | |
| Polyclonal | |
| Unconjugated | |
| SOX2 | |
| ANOP3; cb236; Delta EF2a; lcc; MCOPS3; MCOPS3 (Microphthalmia Syndromic type 3); RGD1565646; sex determining region Y-box 2; SOX 2; SOX2; Sox-2; soxp; SRY (sex determining region Y) box 2; SRY (sex determining region Y)-box 2; SRY box 2; SRY related HMG box 2; SRY-box 2; SRY-box 2; SOX2; SRY-box containing gene 2; SRY-box transcription factor 2; SRY-related HMG-box gene 2; transcription factor SOX2; transcription factor SOX-2; wu:fb83g04; wu:fc14d07; ysb; zgc:65860; zgc:77389 | |
| Rabbit | |
| Sequential chromatography | |
| RUO | |
| 20674, 499593, 6657 | |
| -20°C | |
| Liquid |
| Immunohistochemistry (Paraffin), Western Blot, Immunocytochemistry | |
| 1 mg/mL | |
| PBS with 50% glycerol and 0.02% sodium azide; pH 7.4 | |
| P48431, P48432 | |
| SOX2 | |
| A synthesized peptide derived from human SOX2(Accession P48431), corresponding to amino acid residues around phosphorylated Ser250. | |
| 100 μL | |
| Primary | |
| Human, Mouse, Rat | |
| Antibody | |
| IgG |
Safety and Handling
WARNING: Cancer - www.P65Warnings.ca.gov
Product Content Correction
Your input is important to us. Please complete this form to provide feedback related to the content on this product.
Product Title
Spot an opportunity for improvement?Share a Content Correction