Promotional price valid on web orders only. Your contract pricing may differ. Interested in signing up for a dedicated account number?
Learn More
Learn More
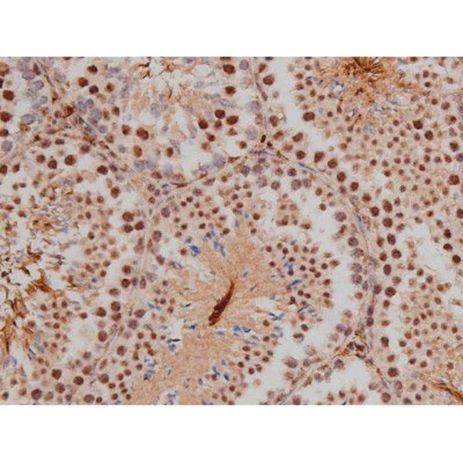
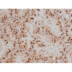
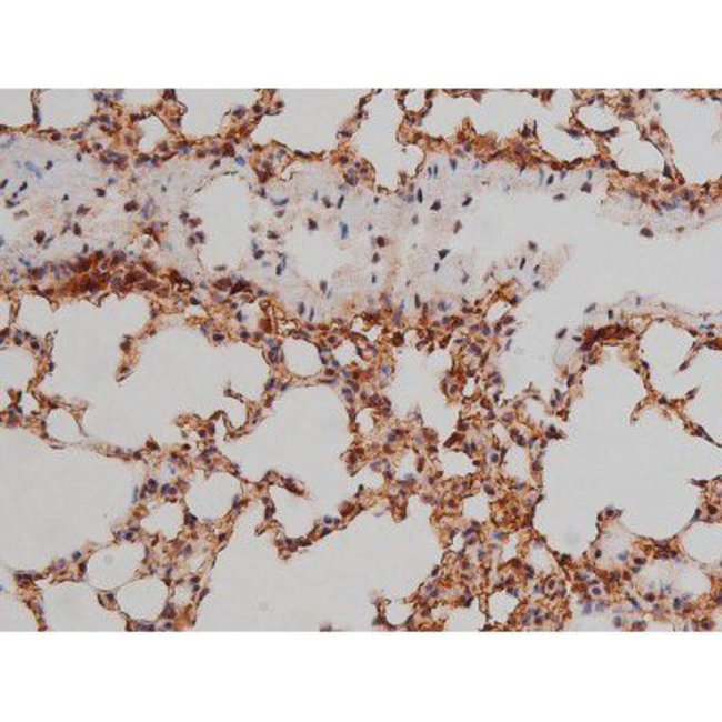
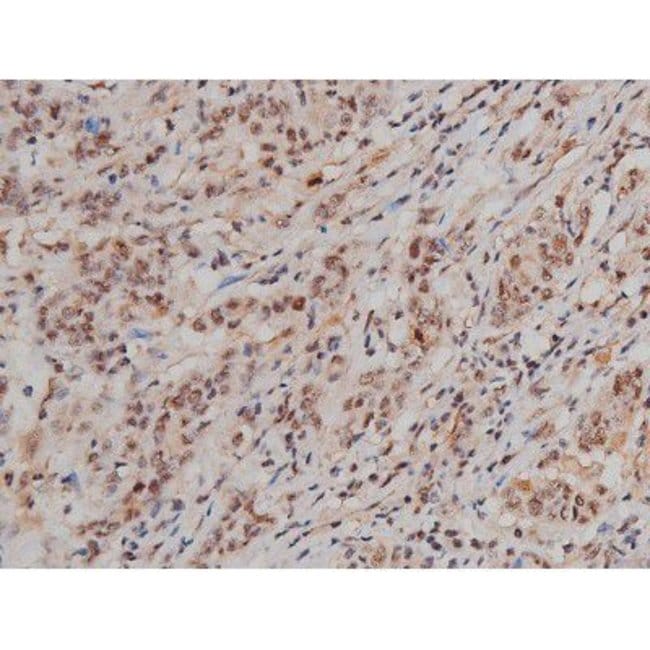
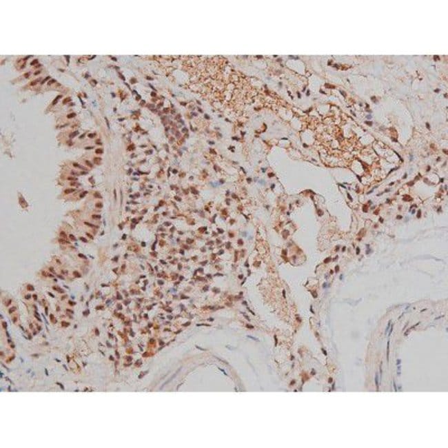
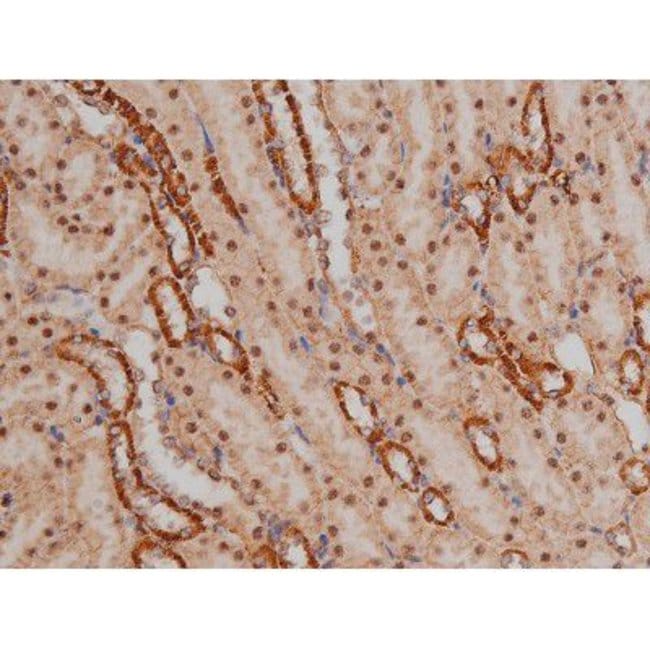
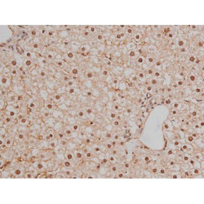
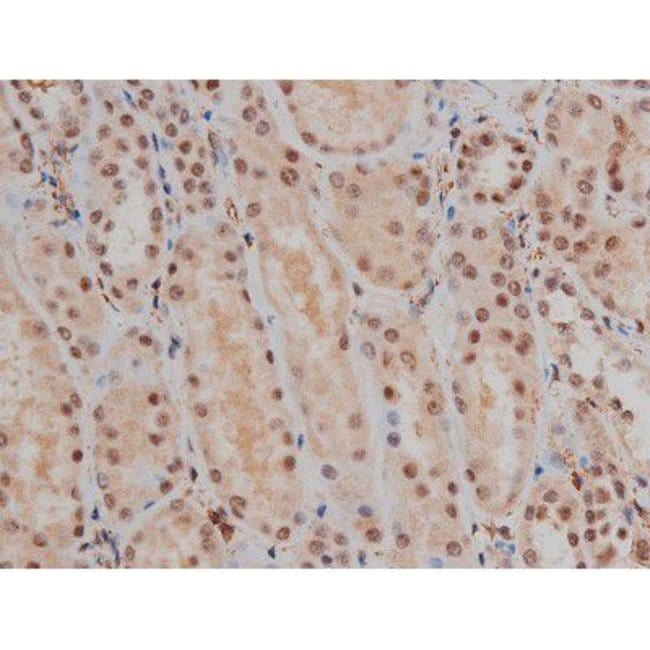
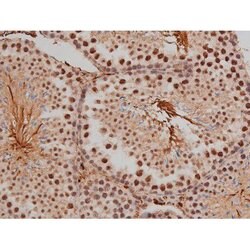
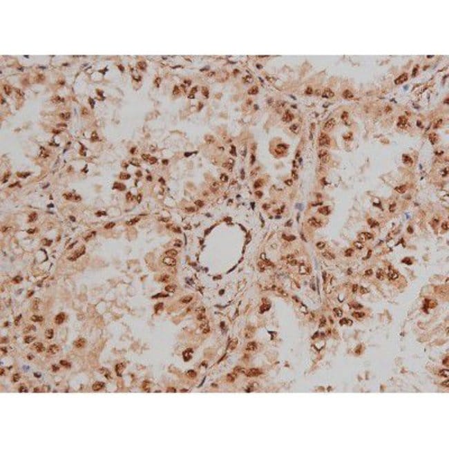
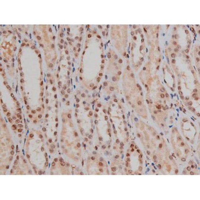
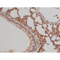
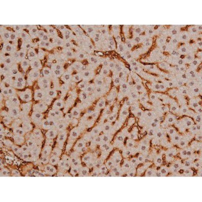
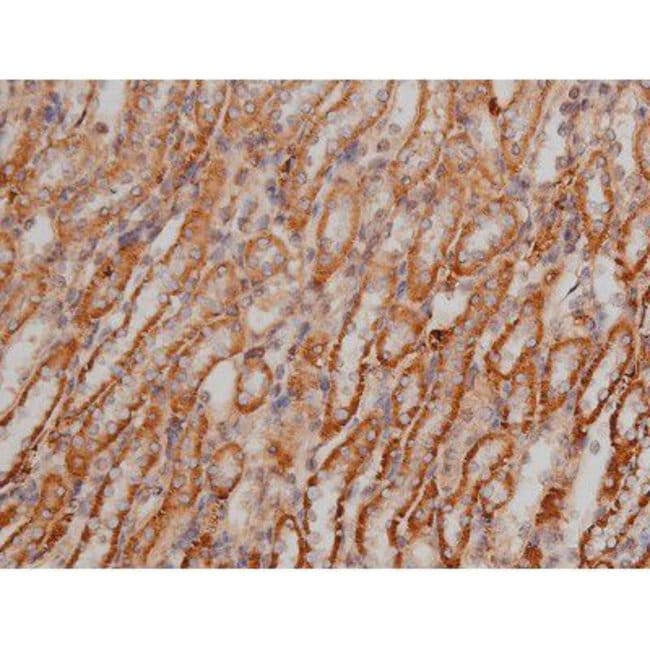
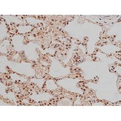
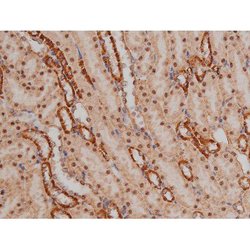
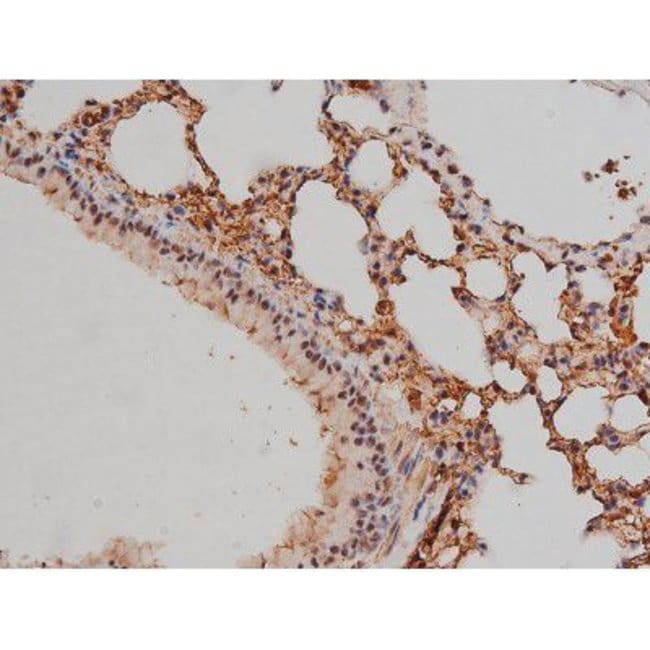
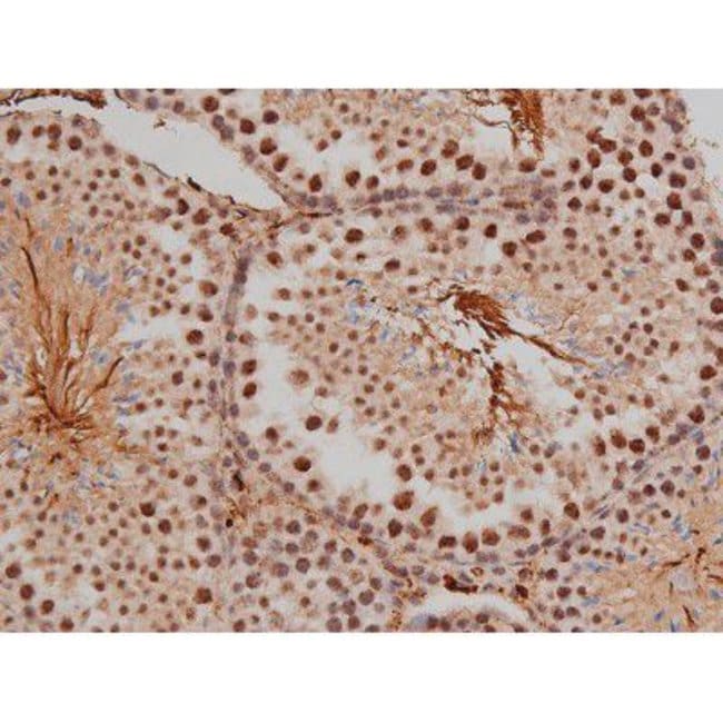
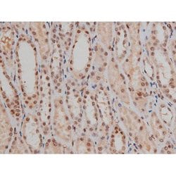
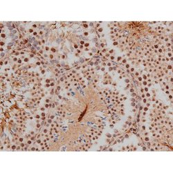
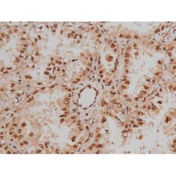
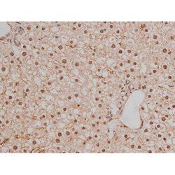
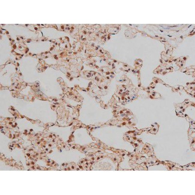
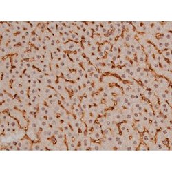
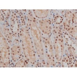
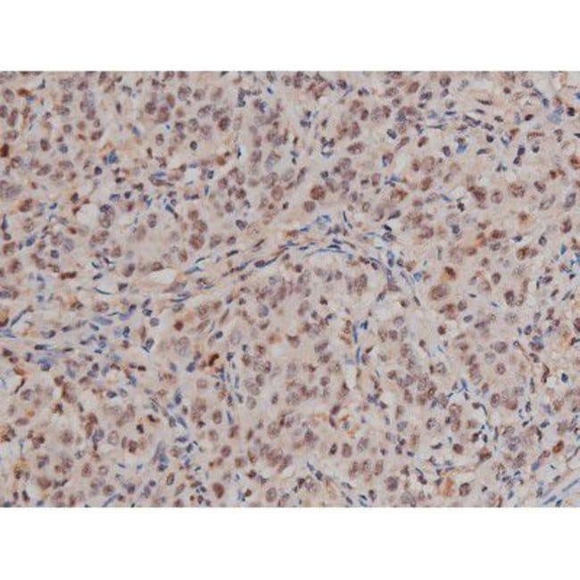
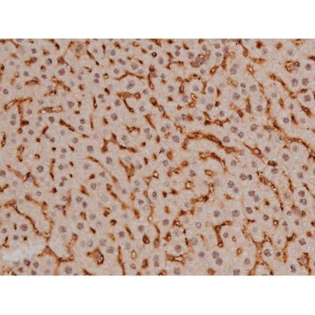
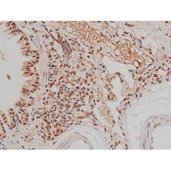
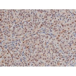
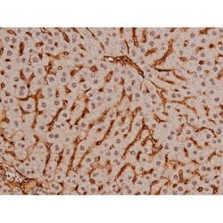
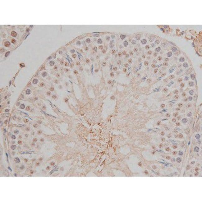
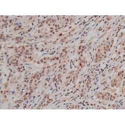
Invitrogen™ Phospho-SP1 (Thr453) Polyclonal Antibody

Rabbit Polyclonal Antibody
Supplier: Invitrogen™ PA5104770
Description
Antibody detects endogenous levels of SP1 only when phosphorylated at Threonine 453.
SP1 is a transcription factor that can activate or repress transcription in response to physiological and pathological stimuli. Binds with high affinity to GC-rich motifs and regulates the expression of a large number of genes involved in a variety of processes such as cell growth, apoptosis, differentiation and immune responses. Highly regulated by post-translational modifications (phosphorylations, sumoylation, proteolytic cleavage, glycosylation and acetylation). Binds also the PDGFR-alpha G-box promoter. May have a role in modulating the cellular response to DNA damage. Implicated in chromatin remodeling. Plays a role in the recruitment of SMARCA4/BRG1 on the c-FOS promoter. Plays an essential role in the regulation of FE65 gene expression.
Specifications
| Phospho-SP1 (Thr453) | |
| Polyclonal | |
| Unconjugated | |
| SP1 | |
| 1110003E12Rik; AA450830; AI845540; HGNC:11205; SP1; Sp1 transcription factor; Sp1-1; specificity protein 1; trans-acting transcription factor 1; transcription factor Sp1; TSFP1 | |
| Rabbit | |
| Sequential Chromatography | |
| RUO | |
| 20683, 24790, 6667 | |
| -20°C | |
| Liquid |
| Immunohistochemistry (Paraffin), Western Blot, Immunocytochemistry | |
| 1 mg/mL | |
| PBS with 50% glycerol and 0.02% sodium azide; pH 7.4 | |
| O89090, P08047, Q01714 | |
| SP1 | |
| A synthesized peptide derived from human SP1(Accession P08047), corresponding to amino acid residues around phosphorylated Thr453. | |
| 100 μL | |
| Primary | |
| Human, Mouse, Rat | |
| Antibody | |
| IgG |
Safety and Handling
WARNING: Cancer - www.P65Warnings.ca.gov
Product Content Correction
Your input is important to us. Please complete this form to provide feedback related to the content on this product.
Product Title
Spot an opportunity for improvement?Share a Content Correction