Promotional price valid on web orders only. Your contract pricing may differ. Interested in signing up for a dedicated account number?
Learn More
Learn More
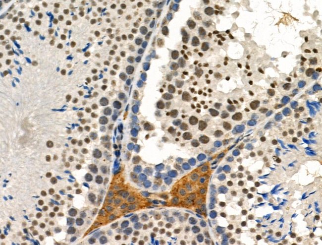
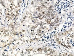
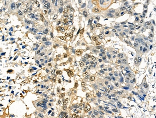
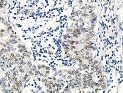
Invitrogen™ Phospho-SRF (Thr159) Polyclonal Antibody

Rabbit Polyclonal Antibody
Supplier: Invitrogen™ PA5118719
Description
Antibody detects endogenous levels of SRF only when phosphorylated at Thr159.
Serum response factor (SRF) is a transcription factor that binds the serum response element (SRE), a sequence that mediates the transient response of many cellular genes to growth stimulation. SRF-binding sites are also constitutive promotor elements in many muscle-specific promotors. SFR is required for cardiac differentiation and maturation.
Specifications
Phospho-SRF (Thr159) | |
Polyclonal | |
Unconjugated | |
SRF | |
AW049942; AW240594; c-fos serum response element-binding transcription factor; MCM1; minichromosome maintenance 1 homolog; OTTHUMP00000039820; RGD1559787; Serum response factor; serum response factor (c-fos serum response element-binding transcription factor); Srf | |
Rabbit | |
Sequential chromatography | |
RUO | |
20807, 501099, 6722 | |
-20°C | |
Liquid |
Immunohistochemistry (Paraffin), Western Blot, Immunocytochemistry | |
1 mg/mL | |
PBS with 50% glycerol and 0.02% sodium azide; pH 7.4 | |
P11831, Q9JM73 | |
SRF | |
A synthesized peptide derived from human SRF(Accession P11831), corresponding to amino acid residues around phosphorylated Thr159. | |
100 μL | |
Primary | |
Human, Mouse, Rat | |
Antibody | |
IgG |
Safety and Handling
WARNING: Cancer - www.P65Warnings.ca.gov
Product Content Correction
Your input is important to us. Please complete this form to provide feedback related to the content on this product.
Product Title
Spot an opportunity for improvement?Share a Content Correction