Learn More
Invitrogen™ Phospho-STAT6 (Tyr641) Polyclonal Antibody

Description
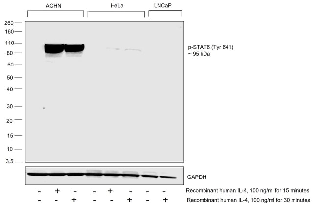
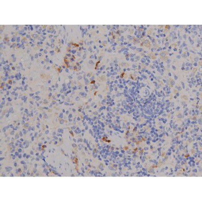
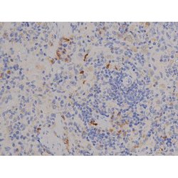
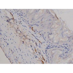
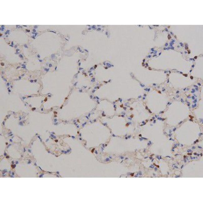
Antibody detects endogenous levels of STAT6 only when phosphorylated at Tyrosine 641.
Specifications
Specifications
| Antigen | Phospho-STAT6 (Tyr641) |
| Applications | Immunohistochemistry (Paraffin), Western Blot, Immunocytochemistry |
| Classification | Polyclonal |
| Concentration | 1 mg/mL |
| Conjugate | Unconjugated |
| Formulation | PBS with 50% glycerol and 0.02% sodium azide; pH 7.4 |
| Gene | STAT6 |
| Gene Accession No. | P42226, P52633 |
| Gene Alias | 12S1644; D12S1644; IL4 STAT; IL-4 Stat; IL-4-STAT; signal transducer and activator of transcription 6; signal transducer and activator of transcription 6, interleukin-4 induced; signal transducer and transcription activator 6; STAT; STAT, interleukin4-induced; Stat6; STAT-6; STAT6B; STAT6C; transcription factor IL-4 STAT |
| Gene Symbols | STAT6 |
| Show More |
Safety and Handling
By clicking Submit, you acknowledge that you may be contacted by Fisher Scientific in regards to the feedback you have provided in this form. We will not share your information for any other purposes. All contact information provided shall also be maintained in accordance with our Privacy Policy.