Learn More
Invitrogen™ Phospho-Stathmin 1 (Ser25) Polyclonal Antibody

Description
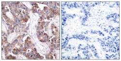
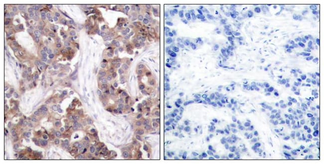
A suggested positive control for Western blot is Jurkat cells; suggested positive control for IHC is human breast carcinoma.
Specifications
Specifications
| Antigen | Phospho-Stathmin 1 (Ser25) |
| Applications | Immunohistochemistry (Paraffin), Western Blot |
| Classification | Polyclonal |
| Concentration | 1 mg/mL |
| Conjugate | Unconjugated |
| Formulation | PBS with 50% glycerol and 0.02% sodium azide; pH 7.4 |
| Gene | Stmn1 |
| Gene Accession No. | P13668, P16949, P54227 |
| Gene Alias | 19k; C1orf215; I79_017954; Lag; LAP18; leukemia associated phosphoprotein p18; leukemia-associated cytosolic phosphoprotein stathmin; leukemia-associated gene protein; Leukemia-associated phosphoprotein p18; metablastin; Oncoprotein 18; Op18; OTTHUMP00000008529; OTTHUMP00000008531; P18; P19; phosphoprotein 19; phosphoprotein p19; Pig; pp17; Pp18; Pp19; Pr22; Pr22 protein; Prosolin; Protein Pr22; RP1-125I3.5; SMN; Stathmin; stathmin 1; stathmin 1 variant; stathmin 1/oncoprotein 18; Stmn1; STN1; testicular tissue protein Li 189; transmembrane protein C1orf215 |
| Gene Symbols | Stmn1 |
| Show More |
Safety and Handling
By clicking Submit, you acknowledge that you may be contacted by Fisher Scientific in regards to the feedback you have provided in this form. We will not share your information for any other purposes. All contact information provided shall also be maintained in accordance with our Privacy Policy.