Promotional price valid on web orders only. Your contract pricing may differ. Interested in signing up for a dedicated account number?
Learn More
Learn More
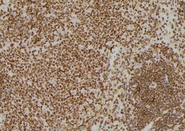
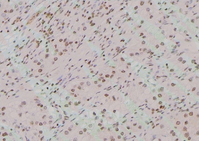
Invitrogen™ Phospho-TAB1 (Tyr481) Polyclonal Antibody

Rabbit Polyclonal Antibody
Supplier: Invitrogen™ PA5105343
Description
Antibody detects endogenous levels of TAB1 only when phosphorylated at Tyr481.
TGF-beta-activated kinase 1 and MAP3K7-binding protein 1 (TAB1) is a regulator of the MAP kinase kinase kinase MAP3K7/TAK1, which is known to mediate various intracellular signaling pathways, such as those induced by TGF beta, interleukin 1, and WNT-1. TAB1 interacts and thus activates TAK1 kinase. It has been shown that the C-terminal portion of TAB1 is sufficient for binding and activation of TAK1, while a portion of the N-terminus acts as a dominant-negative inhibitor of TGF beta, suggesting that this protein may function as a mediator between TGF beta receptors and TAK1. It can also interact with and activate the mitogen-activated protein kinase 14 (MAPK14/p38alpha), and thus represents an alternative activation pathway, in addition to the MAPKK pathways, which contributes to the biological responses of MAPK14 to various stimuli.
Specifications
| Phospho-TAB1 (Tyr481) | |
| Polyclonal | |
| Unconjugated | |
| TAB1 | |
| 2310012M03Rik; 3'-Tab1; b2b449Clo; beta activated kinase-1 binding protein-1; MAP3K7IP1; MGC57664; mitogen activated protein kinase kinase kinase 7 interacting protein 1; mitogen-activated protein kinase kinase kinase 7 interacting protein 1; mitogen-activated protein kinase kinase kinase 7-interacting protein 1; RP3-407F17.2; TAB1; TAB1beta; TAK1-binding protein 1; TGF-beta activated kinase 1/MAP3K7 binding protein 1; TGF-beta-activated kinase 1 and MAP3K7-binding protein 1; TGF-beta-activated kinase 1-binding protein 1; transforming growth factor beta-activated kinase-binding protein 1 | |
| Rabbit | |
| Sequential Chromatography | |
| RUO | |
| 10454, 315139, 66513 | |
| -20°C | |
| Liquid |
| Immunohistochemistry (Paraffin), Western Blot | |
| 1 mg/mL | |
| PBS with 50% glycerol and 0.02% sodium azide; pH 7.4 | |
| Q15750, Q8CF89 | |
| TAB1 | |
| A synthesized peptide derived from human TAB1(Accession Q15750), corresponding to amino acid residues around phosphorylated Tyr481. | |
| 100 μL | |
| Primary | |
| Human, Mouse, Rat | |
| Antibody | |
| IgG |
Safety and Handling
WARNING: Cancer - www.P65Warnings.ca.gov
Product Content Correction
Your input is important to us. Please complete this form to provide feedback related to the content on this product.
Product Title
Spot an opportunity for improvement?Share a Content Correction