Learn More
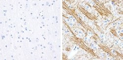
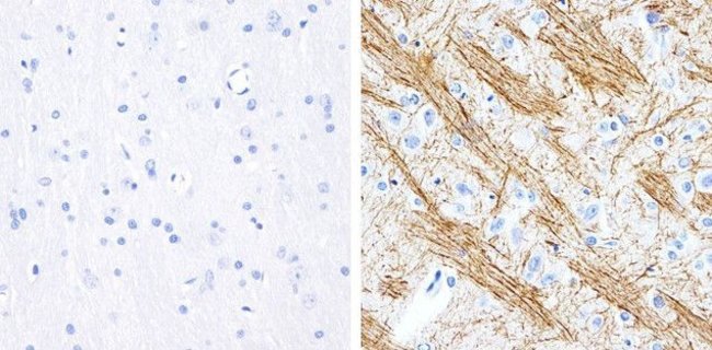
Invitrogen™ Phospho-Tau (Ser199) Recombinant Rabbit Monoclonal Antibody (2H23L4)
Rabbit Recombinant Monoclonal Antibody
Supplier: Invitrogen™ 701054
Description
This antibody is predicted to react with human based on sequence homology. Intact IgG appears on a non-reducing gel as ~150 kDa band and upon reduction generating a ~25 kDa light chain band and a ~50 kDa heavy chain. Recombinant rabbit monoclonal antibodies are produced using in vitro expression systems. The expression systems are developed by cloning in the specific antibody DNA sequences from immunoreactive rabbits. Then, individual clones are screened to select the best candidates for production. The advantages of using recombinant rabbit monoclonal antibodies include: better specificity and sensitivity, lot-to-lot consistency, animal origin-free formulations, and broader immunoreactivity to diverse targets due to larger rabbit immune repertoire.
Tau is a neuronal microtubule-associated protein found predominantly on axons. The function of Tau is to promote tubulin polymerization and stabilize microtubules. The C-terminus binds axonal microtubules while the N- terminus binds neural plasma membrane components, suggesting that tau functions as a linker protein between both. Axonal polarity is predetermined by TAU/MAPT localization (in the neuronal cell) in the domain of the cell body defined by the centrosome. The short isoforms allow plasticity of the cytoskeleton while the longer isoforms may preferentially play a role in its stabilization. In its hyper-phosphorylated form, Tau is the major component of paired helical filaments (PHF), the building block of neurofibrillary lesions in Alzheimer's diseases (AD) brain. Hyper-phosphorylation impairs the microtubule binding function of Tau, resulting in the destabilization of microtubules in AD brains, ultimately leading to the degeneration of the affected neurons. Numerous serine/threonine kinases phosphorylate Tau, including GSK-3beta, protein kinase A (PKA), cyclin-dependent kinase 5 (cdk5) and casein kinase II. Hyper-phosphorylated Tau is found in neurofibrillary lesions in a range and other central nervous system disorders such as Pick's disease, frontotemporal dementia, cortico-basal degeneration and progressive supranuclear palsy.
Specifications
Phospho-Tau (Ser199) | |
Recombinant Monoclonal | |
0.5 mg/mL | |
PBS with 0.09% sodium azide | |
P10636, P10637, P19332 | |
MAPT | |
Phosphopeptide corresponding to amino acids 193-203 of human microtubule-associated protein tau. | |
100 μg | |
Primary | |
Human, Mouse, Rat | |
Antibody | |
IgG |
Immunohistochemistry (Paraffin), Western Blot, Immunocytochemistry | |
2H23L4 | |
Unconjugated | |
MAPT | |
AI413597; AW045860; DDPAC; FLJ31424; FTDP17; FTDP-17; G protein beta1/gamma2 subunit-interacting factor 1; map tau; Mapt; MAPTL; MGC138549; microtubule associated protein tau; microtubule-associated protein tau; microtubule-associated protein tau, isoform 4; microtubules; MSTD; Mtapt; MTBT1; MTBT2; Neurofibrillary tangle protein; neurofibrillary tangles; Neuronal Marker; paired helical filament-tau; PHFtau; PHF-tau; PPND; PPP1R103; protein phosphatase 1, regulatory subunit 103; pTau; RNPTAU; Tau; Tau microtubule-associated protein; tau protein; Tau-4; Tau5; Unknown (protein for MGC:134287) | |
Rabbit | |
Protein A | |
RUO | |
17762, 29477, 4137 | |
Store at 4°C short term. For long term storage, store at -20°C, avoiding freeze/thaw cycles. | |
Liquid |
Safety and Handling
Your input is important to us. Please complete this form to provide feedback related to the content on this product.