Promotional price valid on web orders only. Your contract pricing may differ. Interested in signing up for a dedicated account number?
Learn More
Learn More
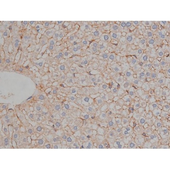
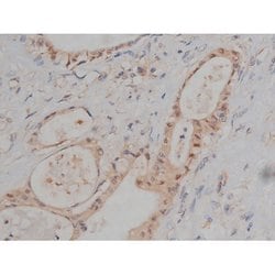
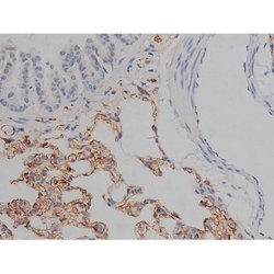
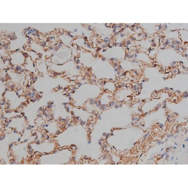
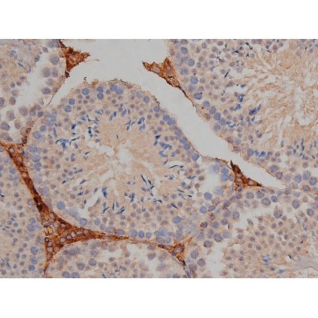
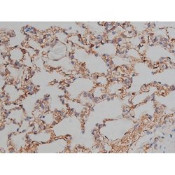
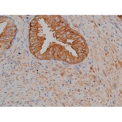
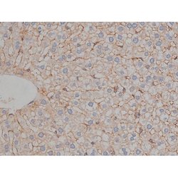
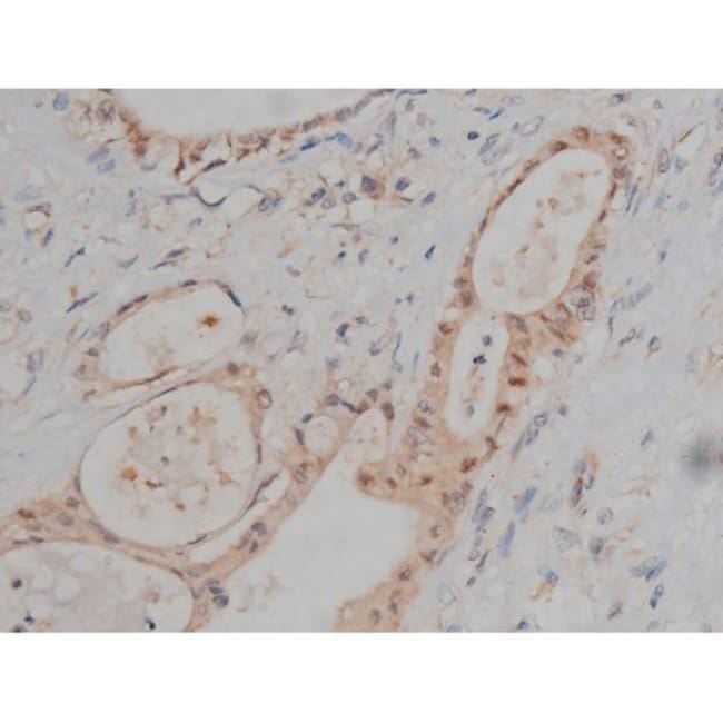
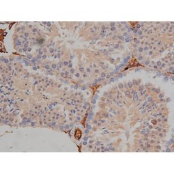
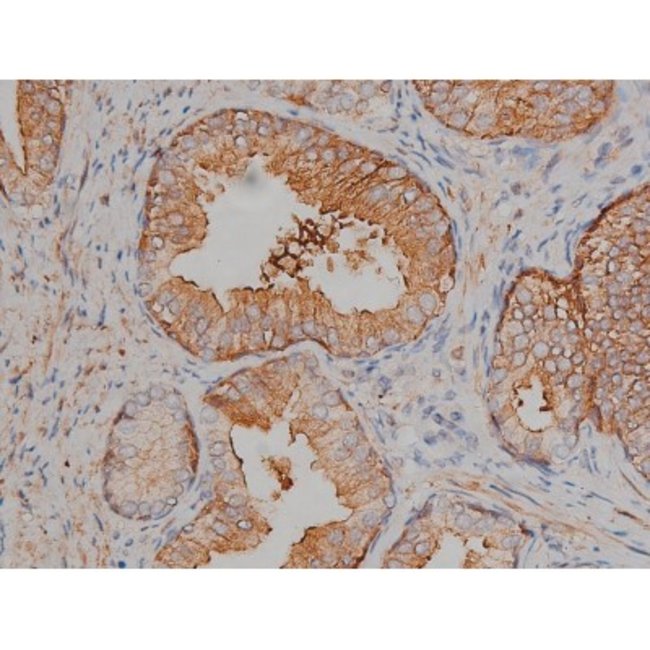
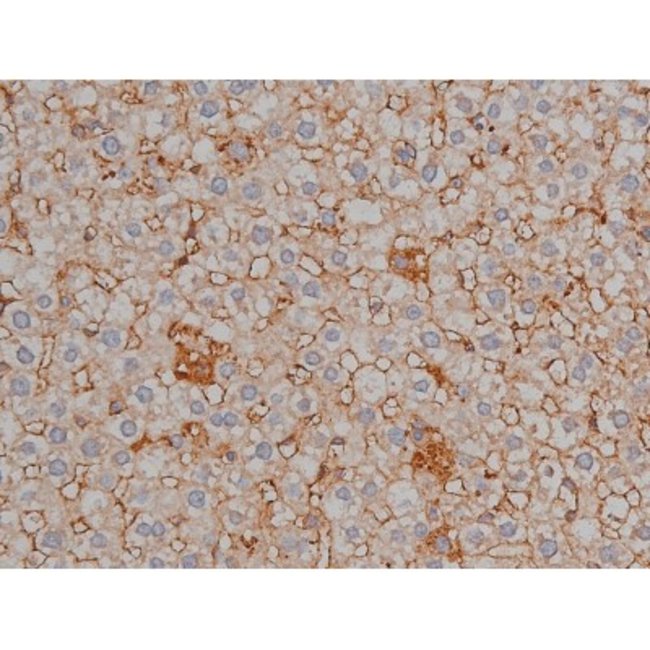
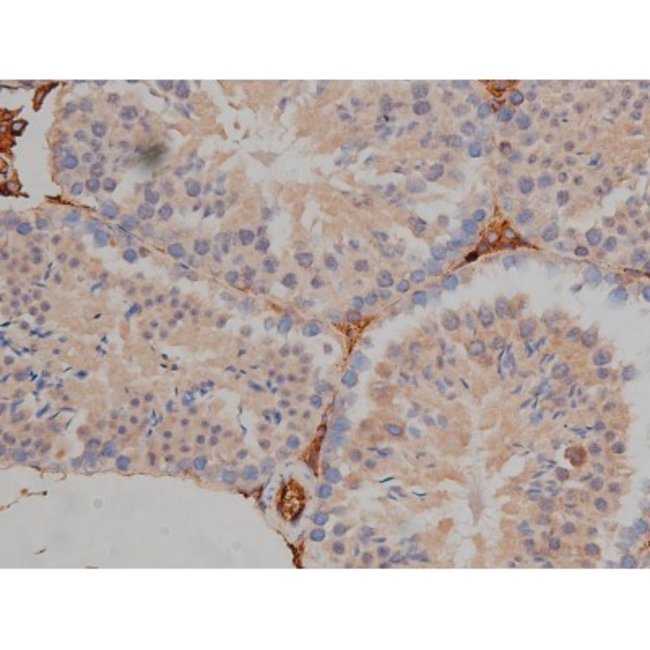
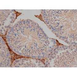
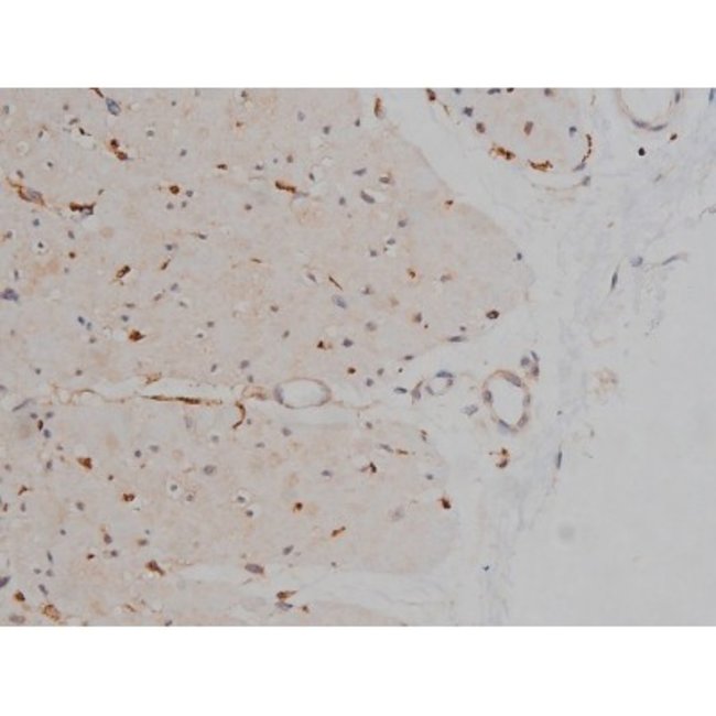
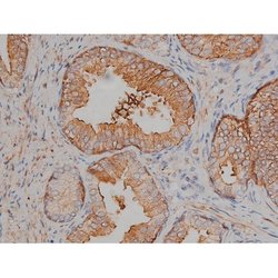
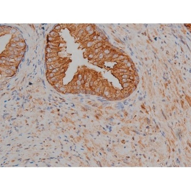
Invitrogen™ Phospho-Tau (Ser721) Polyclonal Antibody

Rabbit Polyclonal Antibody
Supplier: Invitrogen™ PA5114654
Description
Antibody detects endogenous levels of Tau only when phosphorylated at Ser721, which site historically referenced as Ser404.
Tau is a neuronal microtubule-associated protein found predominantly on axons. The function of Tau is to promote tubulin polymerization and stabilize microtubules. The C-terminus binds axonal microtubules while the N- terminus binds neural plasma membrane components, suggesting that tau functions as a linker protein between both. Axonal polarity is predetermined by TAU/MAPT localization (in the neuronal cell) in the domain of the cell body defined by the centrosome. The short isoforms allow plasticity of the cytoskeleton while the longer isoforms may preferentially play a role in its stabilization. In its hyper-phosphorylated form, Tau is the major component of paired helical filaments (PHF), the building block of neurofibrillary lesions in Alzheimer's diseases (AD) brain. Hyper-phosphorylation impairs the microtubule binding function of Tau, resulting in the destabilization of microtubules in AD brains, ultimately leading to the degeneration of the affected neurons. Numerous serine/threonine kinases phosphorylate Tau, including GSK-3beta, protein kinase A (PKA), cyclin-dependent kinase 5 (cdk5) and casein kinase II. Hyper-phosphorylated Tau is found in neurofibrillary lesions in a range and other central nervous system disorders such as Pick's disease, frontotemporal dementia, cortico-basal degeneration and progressive supranuclear palsy.
Specifications
| Phospho-Tau (Ser721) | |
| Polyclonal | |
| Unconjugated | |
| MAPT | |
| AI413597; AW045860; DDPAC; FLJ31424; FTDP17; FTDP-17; G protein beta1/gamma2 subunit-interacting factor 1; map tau; Mapt; MAPTL; MGC138549; microtubule associated protein tau; microtubule-associated protein tau; microtubule-associated protein tau, isoform 4; microtubules; MSTD; Mtapt; MTBT1; MTBT2; Neurofibrillary tangle protein; neurofibrillary tangles; Neuronal Marker; paired helical filament-tau; PHFtau; PHF-tau; PPND; PPP1R103; protein phosphatase 1, regulatory subunit 103; pTau; RNPTAU; Tau; Tau microtubule-associated protein; tau protein; Tau-4; Tau5; Unknown (protein for MGC:134287) | |
| Rabbit | |
| Sequential Chromatography | |
| RUO | |
| 17762, 29477, 4137 | |
| -20°C | |
| Liquid |
| Immunohistochemistry (Paraffin), Western Blot | |
| 1 mg/mL | |
| PBS with 50% glycerol and 0.02% sodium azide | |
| P10636, P10637, P19332 | |
| MAPT | |
| A synthesized peptide derived from human MAPT(Accession P10636), corresponding to amino acid residues around phosphorylated Ser721. | |
| 100 μL | |
| Primary | |
| Human, Mouse, Rat | |
| Antibody | |
| IgG |
Product Content Correction
Your input is important to us. Please complete this form to provide feedback related to the content on this product.
Product Title
Spot an opportunity for improvement?Share a Content Correction