Promotional price valid on web orders only. Your contract pricing may differ. Interested in signing up for a dedicated account number?
Learn More
Learn More
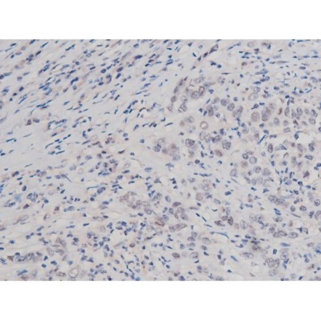
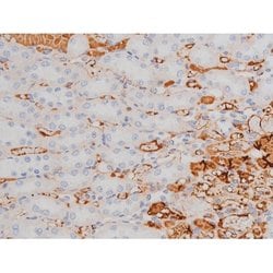
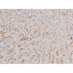
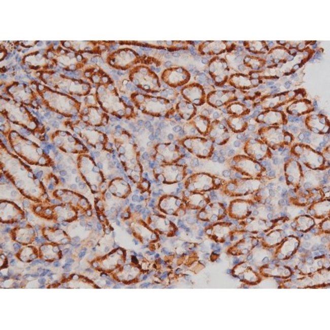
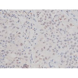
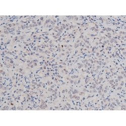
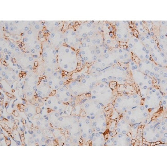
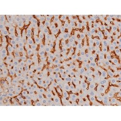
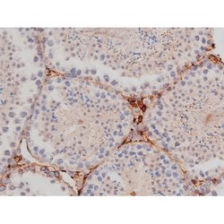
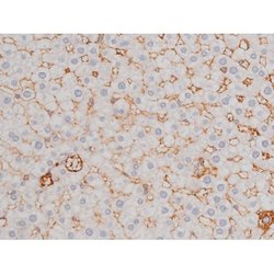
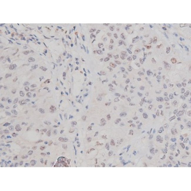
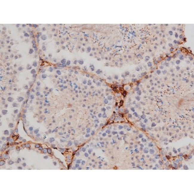
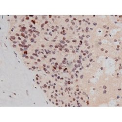
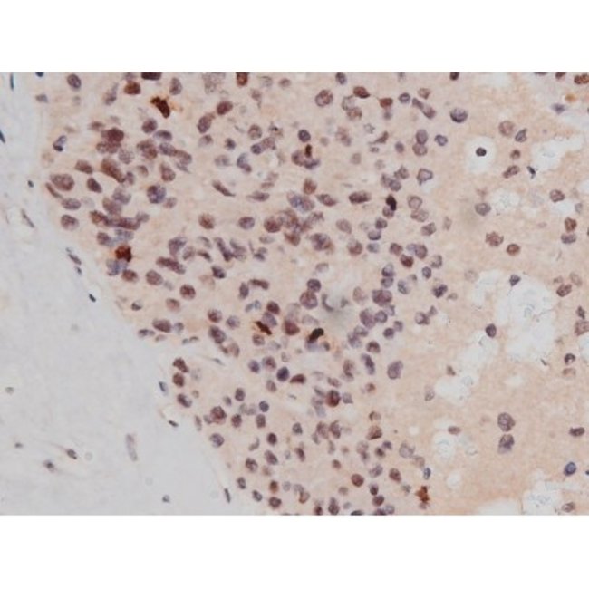
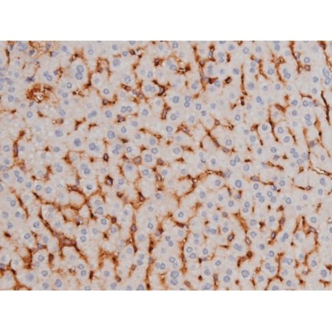
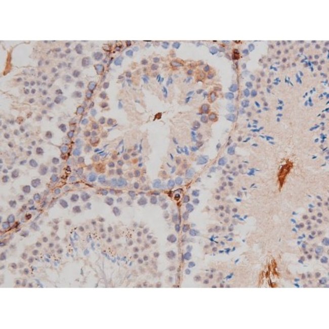
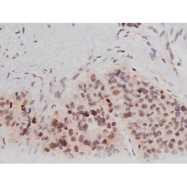
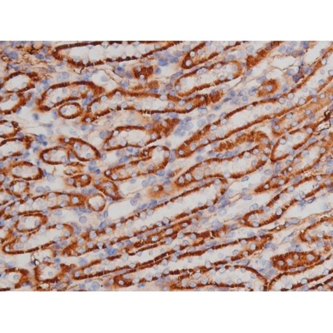
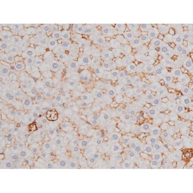
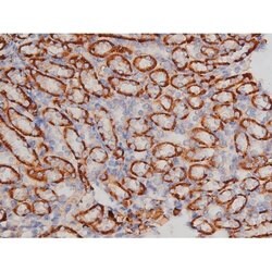
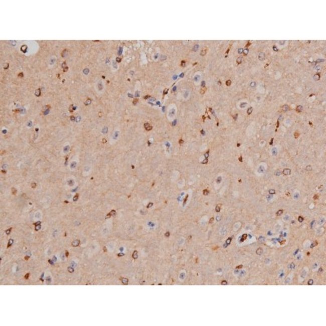
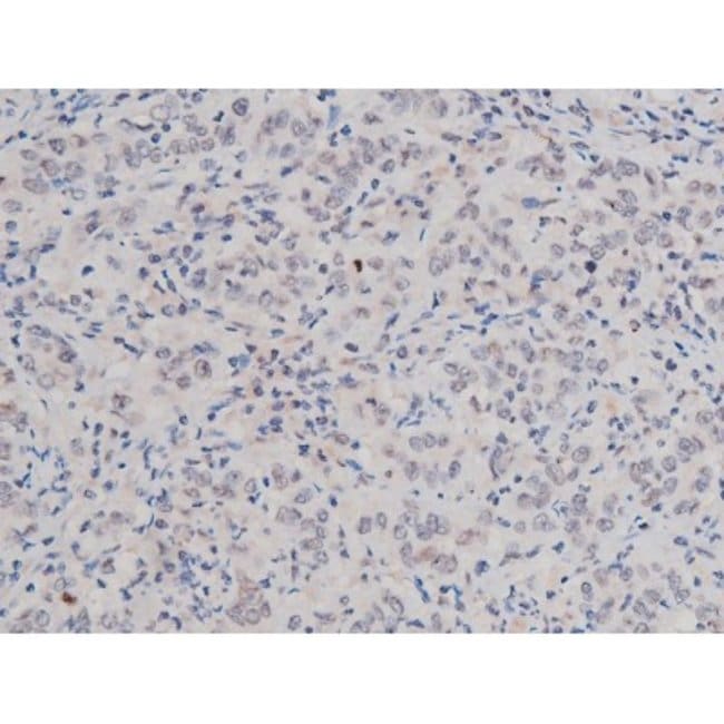
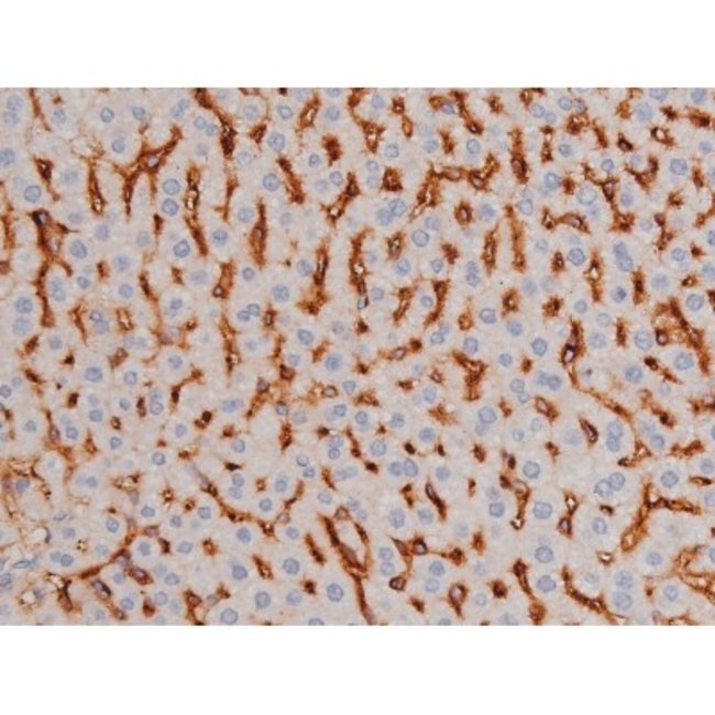
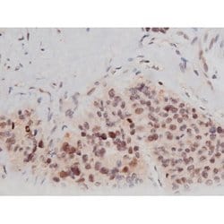
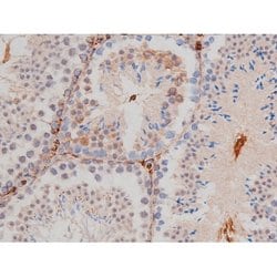
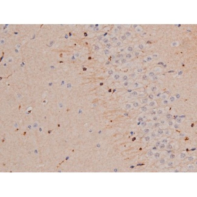
Phospho-Tau (Thr498) Polyclonal Antibody

Supplier: Thermo Scientific PA5114656
Description

Specifications
Phospho-Tau (Thr498) | |
Polyclonal | |
Unconjugated | |
MAPT | |
AI413597; AW045860; DDPAC; FLJ31424; FTDP17; FTDP-17; G protein beta1/gamma2 subunit-interacting factor 1; map tau; Mapt; MAPTL; MGC138549; microtubule associated protein tau; microtubule-associated protein tau; microtubule-associated protein tau, isoform 4; microtubules; MSTD; Mtapt; MTBT1; MTBT2; Neurofibrillary tangle protein; neurofibrillary tangles; Neuronal Marker; paired helical filament-tau; PHFtau; PHF-tau; PPND; PPP1R103; protein phosphatase 1, regulatory subunit 103; pTau; RNPTAU; Tau; Tau microtubule-associated protein; tau protein; Tau-4; Tau5; Unknown (protein for MGC:134287) | |
Rabbit | |
Sequential Chromatography | |
RUO | |
17762, 29477, 4137 | |
-20°C | |
Liquid |
Immunohistochemistry (Paraffin), Western Blot | |
1 mg/mL | |
PBS with 50% glycerol and 0.02% sodium azide | |
P10636, P10637, P19332 | |
MAPT | |
A synthesized peptide derived from human MAPT(Accession P10636), corresponding to amino acid residues around phosphorylated Thr498. | |
100 μL | |
Primary | |
Human, Mouse, Rat | |
Antibody | |
IgG |
Safety and Handling
WARNING: Cancer - www.P65Warnings.ca.gov
Product Content Correction
Your input is important to us. Please complete this form to provide feedback related to the content on this product.
Product Title
Spot an opportunity for improvement?Share a Content Correction