Promotional price valid on web orders only. Your contract pricing may differ. Interested in signing up for a dedicated account number?
Learn More
Learn More
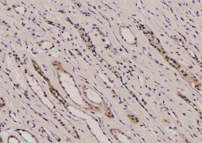
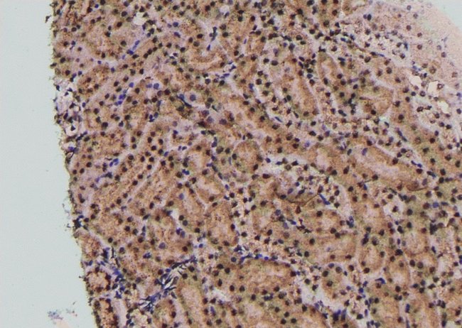
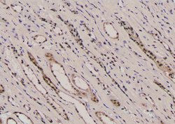
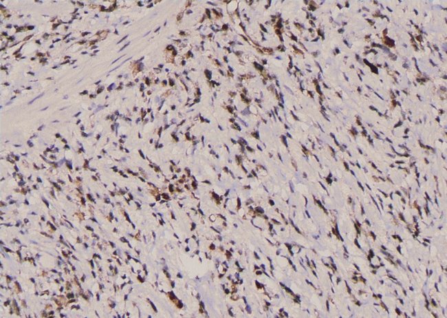
Invitrogen™ Phospho-TPT1 (Ser53) Polyclonal Antibody

Rabbit Polyclonal Antibody
Supplier: Invitrogen™ PA5105492
Description
Antibody detects endogenous levels of TCTP only when phosphorylated at Ser53.
TPT1 (translationally controlled tumor protein 1) is a 23 kDa member of the TCTP family of calcium binding proteins. TPT1 is localized in the cytoplasm and widely expressed and serves as a transcriptional activator, calcium transporter, histamine inducer and antiapoptotic caspase 3 inhibitor. TPT1 is a cytokine-like molecule that causes the release of histamine, IL-4 and IL-13 from basophils as well as the secretion of IL-8 and a calcium response in eosinophils. TPT1 plays a pivotal role in allergic diseases and due to its wide distribution in brain, is thought to be involved in neurodegenerative disorders, such as Alzheimer's disease and Down syndrome.
Specifications
| Phospho-TPT1 (Ser53) | |
| Polyclonal | |
| Unconjugated | |
| TPT1 | |
| 21 kDa polypeptide; 21 kDa polypeptide under translational control; fortilin; Histamine-releasing factor; HRF; Lens epithelial protein; p02; p21; p23; TCTP; Tpt1; translationally regulated transcript (21 kDa); translationally-controlled tumor protein; Trt; tumor protein, translationally-controlled 1 | |
| Rabbit | |
| Sequential chromatography | |
| RUO | |
| 116646, 22070, 7178 | |
| -20°C | |
| Liquid |
| Immunohistochemistry (Paraffin), Western Blot | |
| 1 mg/mL | |
| PBS with 50% glycerol and 0.02% sodium azide; pH 7.4 | |
| P13693, P63028, P63029 | |
| TPT1 | |
| A synthesized peptide derived from human TPT1(Accession P13693), corresponding to amino acid residues around phosphorylated Ser53. | |
| 100 μL | |
| Primary | |
| Human, Mouse, Rat | |
| Antibody | |
| IgG |
Safety and Handling
WARNING: Cancer - www.P65Warnings.ca.gov
Product Content Correction
Your input is important to us. Please complete this form to provide feedback related to the content on this product.
Product Title
Spot an opportunity for improvement?Share a Content Correction