Promotional price valid on web orders only. Your contract pricing may differ. Interested in signing up for a dedicated account number?
Learn More
Learn More
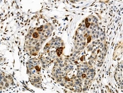
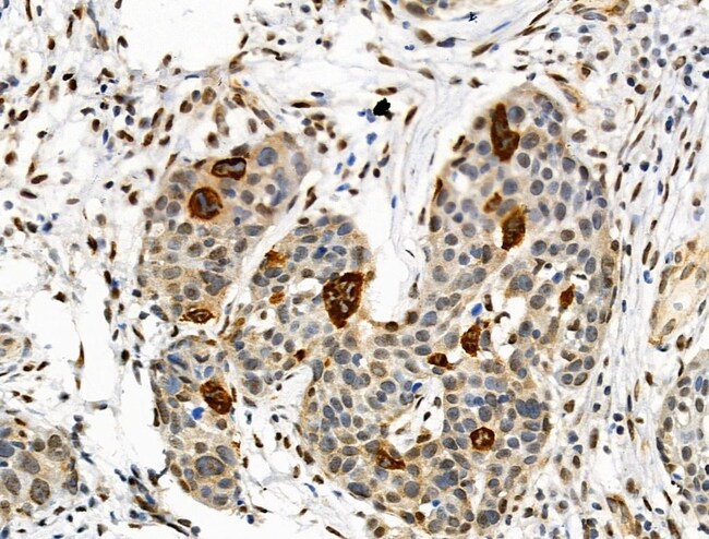
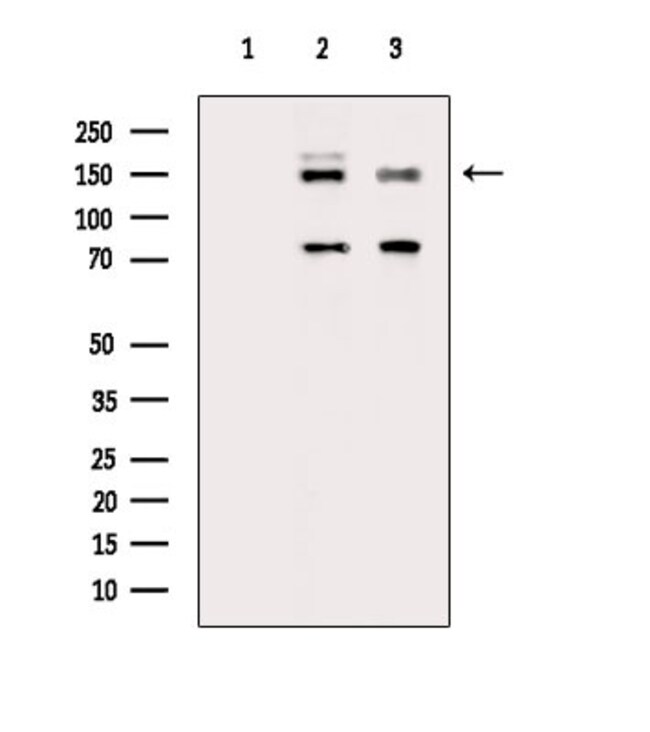
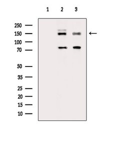
Invitrogen™ Phospho-TSC1 (Ser505) Polyclonal Antibody

Rabbit Polyclonal Antibody
Supplier: Invitrogen™ PA5105060
Description
Antibody detects endogenous levels of TSC1 only when phosphorylated at Ser505.
Tuberous sclerosis complex (TSC) is an autosomal dominant tumor syndrome caused by mutations in either of the TSC1 or TSC2 tumor suppressor genes. The products of these genes form a protein complex that indirectly decreases the signaling of the mammalian Target of Rapamycin (TOR), an evolutionarily conserved serine/threonine kinase that regulates cell growth and cell cycle through its ability to integrate signals from nutrient levels and growth factors. TOR activity is stimulated by Rheb, a member of the Ras superfamily of G-proteins, when the GTP/GDP ratio bound to Rheb is high. Immunoprecipitated TSC1/TSC2 has been shown to stimulate Rheb GTPase activity in vitro, suggesting that the TSC1/TSC2 decreases the ability of Rheb to stimulate TOR activity. This is supported by experiments showing overexpression of TSC1 and TSC2 results in a significant decrease in the GTP/GDP ratio bound to Rheb and the inhibition of cell growth. A shorter 40 kDa isoform of TSC1 has been shown to exist but its function is unknown.
Specifications
| Phospho-TSC1 (Ser505) | |
| Polyclonal | |
| Unconjugated | |
| TSC1 | |
| hamartin; HGNC:12362; Kiaa0243; LAM; MGC86987; OTTHUMP00000022439; OTTHUMP00000198378; TSC; Tsc1; tuberous sclerosis 1; tuberous sclerosis 1 protein; Tuberous sclerosis 1 protein homolog; tumor suppressor | |
| Rabbit | |
| Sequential chromatography | |
| RUO | |
| 60445, 64930, 7248 | |
| -20°C | |
| Liquid |
| Immunohistochemistry (Paraffin), Western Blot | |
| 1 mg/mL | |
| PBS with 50% glycerol and 0.02% sodium azide; pH 7.4 | |
| Q92574, Q9EP53, Q9Z136 | |
| TSC1 | |
| A synthesized peptide derived from human TSC1(Accession Q92574), corresponding to amino acid residues around phosphorylated Ser505. | |
| 100 μL | |
| Primary | |
| Human, Mouse, Rat | |
| Antibody | |
| IgG |
Safety and Handling
WARNING: Cancer - www.P65Warnings.ca.gov
Product Content Correction
Your input is important to us. Please complete this form to provide feedback related to the content on this product.
Product Title
Spot an opportunity for improvement?Share a Content Correction