Promotional price valid on web orders only. Your contract pricing may differ. Interested in signing up for a dedicated account number?
Learn More
Learn More
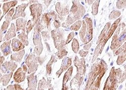
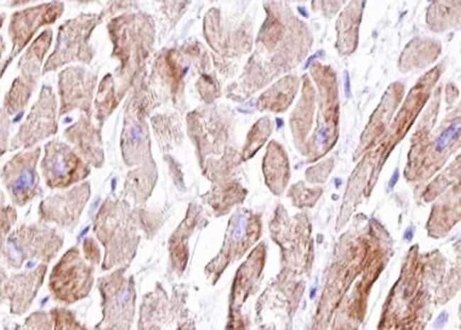
Invitrogen™ Phospho-Vinculin (Tyr822) Polyclonal Antibody

Rabbit Polyclonal Antibody
Supplier: Invitrogen™ PA5104826
Description
Antibody detects endogenous levels of Vinculin only when phosphorylated at Tyrosine 822.
Vinculin (VCL) is a cytoskeletal protein associated with cell-cell and cell-extracellular matrix adherens-type junctions. It functions as one of several interacting proteins involved in anchoring F-actin to the membrane. It has been shown that a sequence of molecular interactions might be involved in the transmembrane assembly of adhesion plaques. In the assembly of adhesion plaques, the beta subunit of integrin binds to talin. Talin binds to vinculin that interacts with alpha-actinin and possibly with itself. Since alpha-actinin binds to and cross-links actin filaments, vinculin represents a key element in the transmembrane linkage of the extracellular matrix to the cytoplasmic microfilament system. Mutations in the gene can result in cardiomyopathy dilated 1W or familial hypertrophic 15.
Specifications
| Phospho-Vinculin (Tyr822) | |
| Polyclonal | |
| Unconjugated | |
| VCL | |
| 9430097D22; AA571387; AI462105; AW545629; CMD1W; CMH15; epididymis luminal protein 114; HEL114; metavinculin; meta-vinculin; metavinculin {ECO:0000250; MV; MVCL; RP11-178G16.3; UniProtKB:P18206}; unnamed protein product; Vcl; vcl {ECO:0000250; VIN; vinc; vinc 1; VINC1; Vinculin; vinculin {ECO:0000250 | |
| Rabbit | |
| sequential chromatography | |
| RUO | |
| 22330, 305679, 7414 | |
| -20°C | |
| Liquid |
| Immunohistochemistry (Paraffin), Western Blot, Immunocytochemistry | |
| 1 mg/mL | |
| PBS with 50% glycerol and 0.02% sodium azide; pH 7.4 | |
| P18206, P85972, Q64727 | |
| VCL | |
| A synthesized peptide derived from human VCL(Accession P18206), corresponding to amino acid residues around phosphorylated Tyr822. | |
| 100 μL | |
| Primary | |
| Human, Mouse, Rat | |
| Antibody | |
| IgG |
Safety and Handling
WARNING: Cancer - www.P65Warnings.ca.gov
Product Content Correction
Your input is important to us. Please complete this form to provide feedback related to the content on this product.
Product Title
Spot an opportunity for improvement?Share a Content Correction