Promotional price valid on web orders only. Your contract pricing may differ. Interested in signing up for a dedicated account number?
Learn More
Learn More
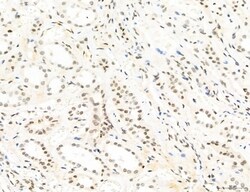
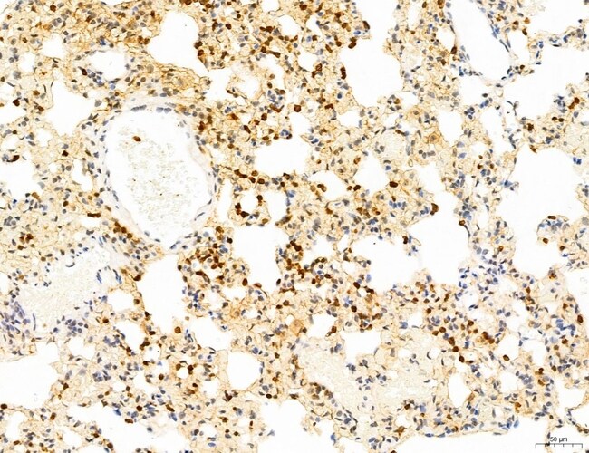
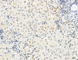
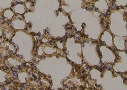
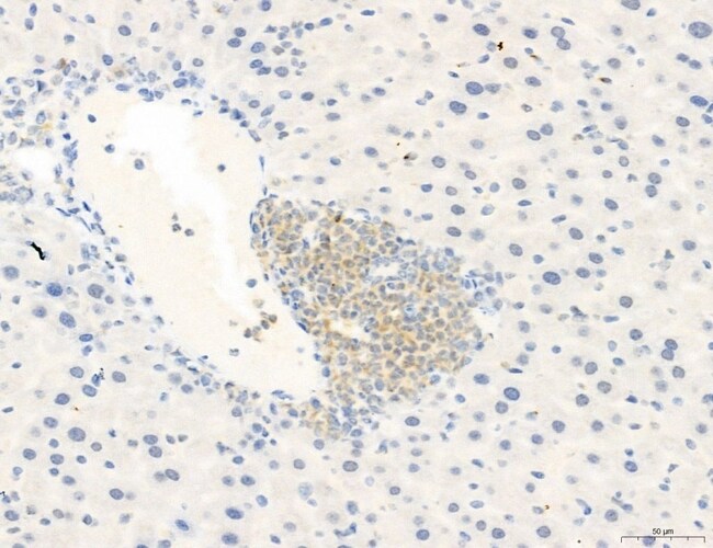
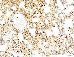
Invitrogen™ Phospho-WASP (Tyr291) Polyclonal Antibody

Rabbit Polyclonal Antibody
Supplier: Invitrogen™ PA5105572
Description
Antibody detects endogenous levels of WASP only when phosphorylated at Tyr291.
The Wiskott-Aldrich syndrome family of proteins share similar domain structure, and are involved in transduction of signals from receptors on the cell surface to the actin cytoskeleton. The presence of a number of different motifs suggests that they are regulated by a number of different stimuli, and interact with multiple proteins. Recent studies have demonstrated that these proteins, directly or indirectly, associate with the small GTPase, Cdc42, known to regulate formation of actin filaments, and the cytoskeletal organizing complex, Arp2/3. Wiskott-Aldrich syndrome is a rare, inherited, X-linked, recessive disease characterized by immune dysregulation and microthrombocytopenia, and is caused by mutations in the WAS gene. The WAS gene product is a cytoplasmic protein, expressed exclusively in hematopoietic cells, which show signalling and cytoskeletal abnormalities in WAS patients. A transcript variant arising as a result of alternative promoter usage, and containing a different 5' UTR sequence, has been described, however, its full-length nature is not known.
Specifications
| Phospho-WASP (Tyr291) | |
| Polyclonal | |
| Unconjugated | |
| Was | |
| 2900021I12Rik; 3110031I02Rik; eczema-thrombocytopenia; IMD2; neural Wiskott-Aldrich syndrome protein; NWASP; N-WASP; SCNX; THC; THC1; thrombocytopenia 1 (X-linked); TRS4; U42471; Was; WASL; Wasp; WASPA; WASPB; Wiskott-Aldrich syndrome; Wiskott-Aldrich syndrome homolog; Wiskott-Aldrich syndrome homolog (human); Wiskott-Aldrich syndrome like; wiskott-Aldrich syndrome protein; Wiskott-Aldrich syndrome protein homolog; Wiskott-Aldrich syndrome-like; Wiskott-Aldrich syndrome-like (human) | |
| Rabbit | |
| sequential chromatography | |
| RUO | |
| 22376, 317371, 7454 | |
| -20°C | |
| Liquid |
| Immunohistochemistry (Paraffin), Western Blot | |
| 1 mg/mL | |
| PBS with 50% glycerol and 0.02% sodium azide; pH 7.4 | |
| P42768, P70315 | |
| Was | |
| A synthesized peptide derived from human WAS(Accession P42768), corresponding to amino acid residues around phosphorylated Tyr291. | |
| 100 μL | |
| Primary | |
| Human, Mouse, Rat | |
| Antibody | |
| IgG |
Safety and Handling
WARNING: Cancer - www.P65Warnings.ca.gov
Product Content Correction
Your input is important to us. Please complete this form to provide feedback related to the content on this product.
Product Title
Spot an opportunity for improvement?Share a Content Correction