Promotional price valid on web orders only. Your contract pricing may differ. Interested in signing up for a dedicated account number?
Learn More
Learn More
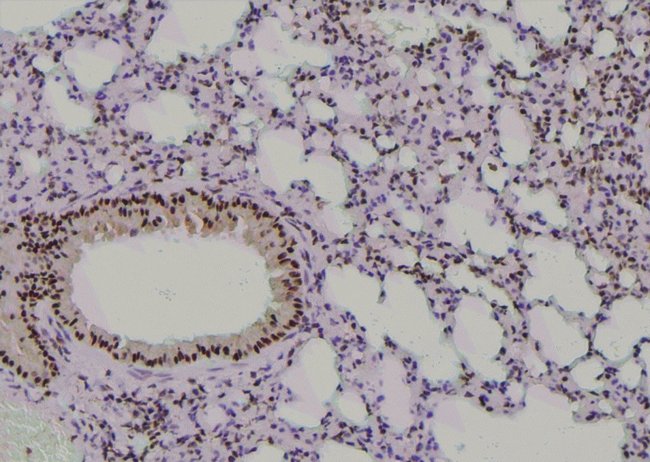
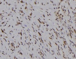
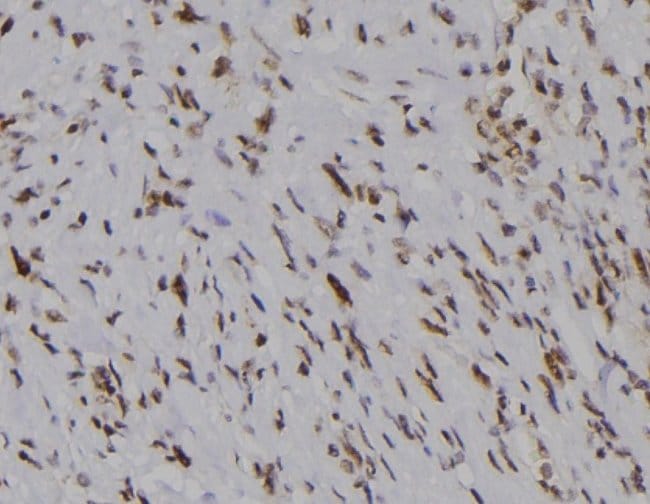
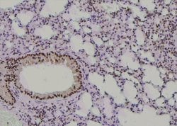
Invitrogen™ Phospho-WEE1 (Ser139) Polyclonal Antibody

Rabbit Polyclonal Antibody
Supplier: Invitrogen™ PA5105559
Description
Antibody detects endogenous levels of WEE1 only when phosphorylated at Ser139.
WEE1, which is classified as a Ser/Thr kinase by sequence analysis, has been shown to inactivate multiple CDKs by tyrosine phosphorylation. Wee1 protein catalyzes the inhibitory tyrosine phosphorylation of CDC2/cyclin B kinase, and appears to coordinate the transition between DNA replication and mitosis by protecting the nucleus from cytoplasmically activated CDC2 kinase.
Specifications
| Phospho-WEE1 (Ser139) | |
| Polyclonal | |
| Unconjugated | |
| WEE1 | |
| CTRCT30; DKFZp686I18166; epididymis luminal protein 113; fa20h03; FLJ16446; HEL113; VIM; Vimentin; wee 1 homolog; WEE 1 homolog 1 (S. pombe); Wee1; WEE1 G2 checkpoint kinase; WEE1 homolog; wee1 protein; WEE1 tyrosine kinase; WEE1+ homolog; Wee1A; wee1A kinase; WEE1hu; wee1-like protein kinase; wu:fa20h03; zgc:136514 | |
| Rabbit | |
| Sequential Chromatography | |
| RUO | |
| 22390, 308937, 7465 | |
| -20°C | |
| Liquid |
| Immunohistochemistry (Paraffin), Western Blot, Immunocytochemistry | |
| 1 mg/mL | |
| PBS with 50% glycerol and 0.02% sodium azide; pH 7.4 | |
| P30291, P47810, Q63802 | |
| WEE1 | |
| A synthesized peptide derived from human WEE1(Accession P30291), corresponding to amino acid residues around phosphorylated Ser139. | |
| 100 μL | |
| Primary | |
| Human, Mouse, Rat | |
| Antibody | |
| IgG |
Product Content Correction
Your input is important to us. Please complete this form to provide feedback related to the content on this product.
Product Title
Spot an opportunity for improvement?Share a Content Correction