Promotional price valid on web orders only. Your contract pricing may differ. Interested in signing up for a dedicated account number?
Learn More
Learn More
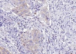
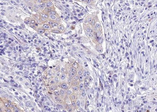
Invitrogen™ Phospho-WNK1 (Thr60) Polyclonal Antibody

Rabbit Polyclonal Antibody
Supplier: Invitrogen™ PA5105033
Description
Antibody detects endogenous levels of WNK1 only when phosphorylated at Threonine 60.
WNK1 serine/threonine kinase is a member of the WNK subfamily. WNK1 may be a key regulator of blood pressure by controlling the transport of sodium and chloride ions. Mutations in this gene have been associated with pseudohypoaldosteronism type II and hereditary sensory neuropathy type II. WNK plays an important role in the regulation of electrolyte homeostasis, cell signaling, survival, and proliferation. Also, acts as an activator and inhibitor of sodium-coupled chloride cotransporters and potassium-coupled chloride cotransporters respectively. Activates SCNN1A, SCNN1B, SCNN1D, and SGK1. WNK localizes to a segment of kidney involved in salt, potassium, and pH homeostasis, the distal nephron. Mutations in the WNK gene result in Pseudohypaldosteronism and Neuropathy.
Specifications
Phospho-WNK1 (Thr60) | |
Polyclonal | |
Unconjugated | |
WNK1 | |
6430573H23Rik; EG406236; Erythrocyte 65 kDa protein; HSAN2; HSN2; hWNK1; KDP; KIAA0344; Kinase deficient protein; MGC163339; MGC163341; mKIAA0344; p65; PPP1R167; Prkwnk1; prostate-derived sterile 20-like kinase; protein kinase lysine-deficient 1; Protein kinase with no lysine 1; protein phosphatase 1, regulatory subunit 167; PSK; Serine/threonine-protein kinase WNK1; serine/threonine-protein kinase WNK1 1; serine/threonine-protein kinase WNK1 2; With no K; WNK lysine deficient protein kinase 1; WNK lysine deficient protein kinase 1 isoform; WNK1 | |
Rabbit | |
sequential chromatography | |
RUO | |
116477, 232341, 65125 | |
-20°C | |
Liquid |
Immunohistochemistry (Paraffin), Western Blot, Immunocytochemistry | |
1 mg/mL | |
PBS with 50% glycerol and 0.02% sodium azide; pH 7.4 | |
P83741, Q9H4A3, Q9JIH7 | |
WNK1 | |
A synthesized peptide derived from human WNK1(Accession Q9H4A3), corresponding to amino acid residues around phosphorylated Thr60. | |
100 μL | |
Primary | |
Human, Mouse, Rat | |
Antibody | |
IgG |
Safety and Handling
WARNING: Cancer - www.P65Warnings.ca.gov
Product Content Correction
Your input is important to us. Please complete this form to provide feedback related to the content on this product.
Product Title
Spot an opportunity for improvement?Share a Content Correction