Promotional price valid on web orders only. Your contract pricing may differ. Interested in signing up for a dedicated account number?
Learn More
Learn More
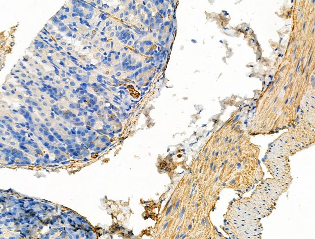
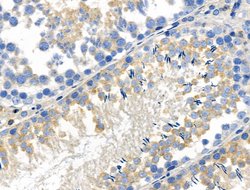
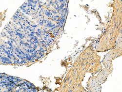
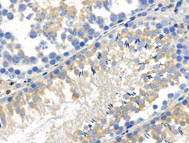
Invitrogen™ Phospho-WNK4 (Ser575) Polyclonal Antibody

Rabbit Polyclonal Antibody
Supplier: Invitrogen™ PA5114673
Description
Antibody detects endogenous levels of WNK4 only when phosphorylated at Ser575.
This gene encodes a member of the WNK family of serine-threonine protein kinases. The kinase is part of the tight junction complex in kidney cells, and regulates the balance between NaCl reabsorption and K(+) secretion. The kinase regulates the activities of several types of ion channels, cotransporters, and exchangers involved in electrolyte flux in epithelial cells. Mutations in this gene result in pseudohypoaldosteronism type IIB.
Specifications
Phospho-WNK4 (Ser575) | |
Polyclonal | |
Unconjugated | |
Wnk4 | |
2010002J11Rik; Ac2-059; Pha2b; Prkwnk4; protein kinase lysine-deficient 4; Protein kinase with no lysine 4; protein kinase, lysine deficient 4; protein kinase, lysine-deficient 4; RP23-281C18.8; serine/threonine-protein kinase WNK4; WNK lysine deficient protein kinase 4; WNK4; WNK4 Ser/Thr kinase | |
Rabbit | |
sequential chromatography | |
RUO | |
287715, 65266, 69847 | |
-20°C | |
Liquid |
Immunohistochemistry (Paraffin), Western Blot | |
1 mg/mL | |
PBS with 50% glycerol and 0.02% sodium azide | |
Q7TPK6, Q80UE6, Q96J92 | |
Wnk4 | |
A synthesized peptide derived from human WNK4 around the phosphorylation site of Ser575. | |
100 μL | |
Primary | |
Human, Mouse, Rat | |
Antibody | |
IgG |
Product Content Correction
Your input is important to us. Please complete this form to provide feedback related to the content on this product.
Product Title
Spot an opportunity for improvement?Share a Content Correction