Promotional price valid on web orders only. Your contract pricing may differ. Interested in signing up for a dedicated account number?
Learn More
Learn More
Invitrogen™ PICK1 Polyclonal Antibody

Rabbit Polyclonal Antibody
Supplier: Invitrogen™ PA5119691
This item is not returnable.
View return policy
Description
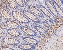
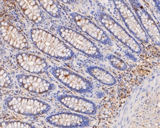
Positive Control: SH-SY5Y cell lysate, 293 cell lysate, F9, MCF-7, rat brain tissue, human colon tissue, mouse brain tissue, SH-SY5Y. Subcellular Location: Cytoskeleton, perinuclear region, membrane, postsynaptic density, synaptosome.
PSD-95/DLG/ZO-1 (PDZ) domain-containing proteins play a central role in synaptic membrane protein localization. The protein interacting with protein kinase C (PICK1) is a synaptic PDZ domain protein that also contains a coiled-coil and acidic domain. Studies indicate that PICK1 functions as a targeting and transport protein and has been shown to interact with protein kinase C alpha (PKCalpha), AMPA-type glutamate receptors, and several other membrane receptors via its PDZ domain. The interaction of PICK1 with PKCalpha is highly dependent on the activation of the kinase. It appears that PICK1 directs the activated form of PKCalpha to membrane anchored GluR2. Once phosphorylated by PKCalpha, GluR2 is released from the synaptic anchor proteins. Once released, GluR2 is transported from the synaptic membrane in a PICK1-dependent manner.
Specifications
| PICK1 | |
| Polyclonal | |
| Unconjugated | |
| Pick1 | |
| MGC15204; OTTHUMP00000028509; PICK; Pick1; PRKCA-binding protein; Prkcabp; Protein interacting with C kinase 1; protein interacting with PRKCA 1; protein kinase C, alpha binding protein; protein kinase C-alpha-binding protein; protein that interacts with C kinase 1 | |
| Rabbit | |
| Affinity Chromatography | |
| RUO | |
| 18693, 84591, 9463 | |
| Store at 4°C short term. For long term storage, store at -20°C, avoiding freeze/thaw cycles. | |
| Liquid |
| Flow Cytometry, Immunohistochemistry (Paraffin), Western Blot, Immunocytochemistry | |
| 1 mg/mL | |
| TBS with 0.2% BSA, 50% glycerol and 0.05% sodium azide; pH 7.4 | |
| Q62083, Q9EP80, Q9NRD5 | |
| Pick1 | |
| Synthetic peptide within rat PICK1 aa 280-330. | |
| 100 μL | |
| Primary | |
| Human, Mouse, Rat | |
| Antibody | |
| IgG |
Product Content Correction
Your input is important to us. Please complete this form to provide feedback related to the content on this product.
Product Title
Spot an opportunity for improvement?Share a Content Correction