Promotional price valid on web orders only. Your contract pricing may differ. Interested in signing up for a dedicated account number?
Learn More
Learn More
Invitrogen™ PIGB Polyclonal Antibody

Rabbit Polyclonal Antibody
Supplier: Invitrogen™ PA558993
Description
Immunogen sequence: QRGTLDVMSH IQKVCYNNPN KSSASIFIMM PCHSTPYYSH VHCPLPMRFL QCPPDLTGKS HYLDEAD Highest antigen sequence identity to the following orthologs: Mouse - 84%, Rat - 84%.
Mannosyltransferase involved in glycosylphosphatidylinositol-anchor biosynthesis. Transfers the third alpha-1, 2-mannose to Man2-GlcN-acyl-PI during GPI precursor assembly.
Specifications
| PIGB | |
| Polyclonal | |
| Unconjugated | |
| PIGB | |
| dol-P-Man dependent GPI mannosyltransferase; GPI mannosyltransferase 3; GPI mannosyltransferase III; GPI-MT-III; involved in GPI-anchor biosynthesis; phosphatidylinositol glycan anchor biosynthesis class B; phosphatidylinositol glycan anchor biosynthesis, class B; phosphatidylinositol glycan, class B; phosphatidylinositol-glycan biosynthesis class B protein; Pigb; Pig-b | |
| Rabbit | |
| Antigen affinity chromatography | |
| RUO | |
| 315807, 55981, 9488 | |
| Store at 4°C short term. For long term storage, store at -20°C, avoiding freeze/thaw cycles. | |
| Liquid |
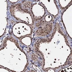
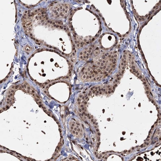
| Immunohistochemistry (Paraffin), Western Blot | |
| 0.1 mg/mL | |
| PBS with 40% glycerol and 0.02% sodium azide; pH 7.2 | |
| Q92521, Q9JJQ0 | |
| PIGB | |
| Recombinant protein corresponding to Human PIGB. Recombinant protein control fragment (Product #RP-98031). | |
| 100 μL | |
| Primary | |
| Human, Mouse, Rat | |
| Antibody | |
| IgG |
Product Content Correction
Your input is important to us. Please complete this form to provide feedback related to the content on this product.
Product Title
Spot an opportunity for improvement?Share a Content Correction