Promotional price valid on web orders only. Your contract pricing may differ. Interested in signing up for a dedicated account number?
Learn More
Learn More
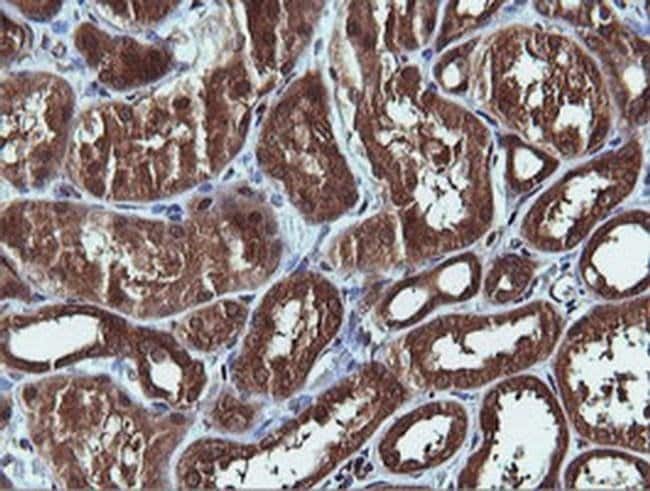
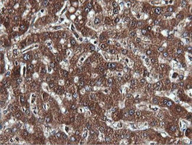
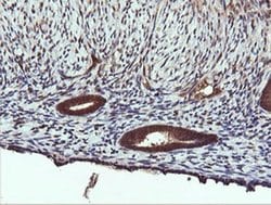
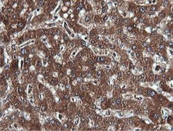
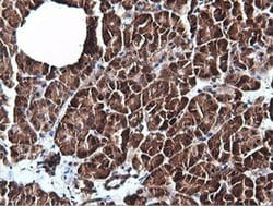
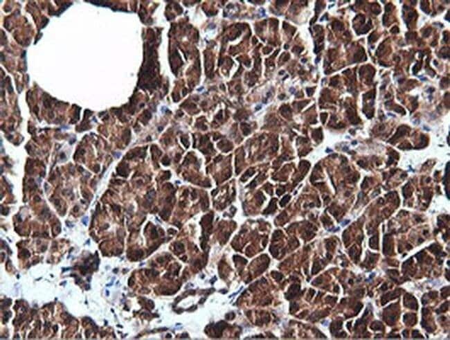
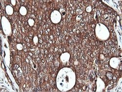
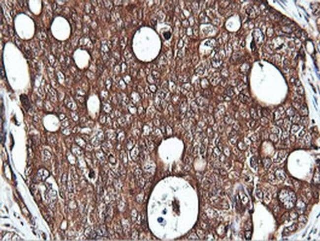
Invitrogen™ PIK3C2B Monoclonal Antibody (OTI3B1)

Mouse Monoclonal Antibody
Supplier: Invitrogen™ MA526243
Description
PIK3C2B Monoclonal Antibody for IHC (P), Western Blot
The Class II PI3 kinases, including PIK3C2B, phosphorylate the 3 position of PI or PI4P. Though not as well studied as the class I PI3 kinases, the class II enyzmes have been linked to diverse, receptor-mediated cellular processes including insulin signaling, neuronal survival, and growth factor signaling. Protein kinases are enzymes that transfer a phosphate group from a phosphate donor, generally the g phosphate of ATP, onto an acceptor amino acid in a substrate protein. By this basic mechanism, protein kinases mediate most of the signal transduction in eukaryotic cells, regulating cellular metabolism, transcription, cell cycle progression, cytoskeletal rearrangement and cell movement, apoptosis, and differentiation. With more than 500 gene products, the protein kinase family is one of the largest families of proteins in eukaryotes. The family has been classified in 8 major groups based on sequence comparison of their tyrosine (PTK) or serine/threonine (STK) kinase catalytic domains.
Specifications
| PIK3C2B | |
| Monoclonal | |
| 1 mg/mL | |
| PBS with 50% glycerol, 1% BSA and 0.02% sodium azide; pH 7.3 | |
| O00750 | |
| PIK3C2B | |
| Full length human recombinant protein of PIK3C2B produced in HEK293T cell. | |
| 100 μL | |
| Primary | |
| Human | |
| Antibody | |
| IgG1 |
| Immunohistochemistry (Paraffin), Western Blot | |
| OTI3B1 | |
| Unconjugated | |
| PIK3C2B | |
| C2-PI3K; C330011J12Rik; Gm199; phosphatidylinositol 3-kinase C2 domain-containing beta polypeptide; phosphatidylinositol 4-phosphate 3-kinase C2 domain-containing subunit beta; phosphatidylinositol-4-phosphate 3-kinase C2 domain-containing subunit beta; phosphatidylinositol-4-phosphate 3-kinase catalytic subunit type 2 beta; phosphatidylinositol-4-phosphate 3-kinase, catalytic subunit type 2 beta; phosphoinositide 3-kinase-C2-beta; phosphoinositide-3-kinase, class 2, beta polypeptide; pi3kc2b; PI3KC2beta; PI3K-C2beta; PI3K-C2-beta; PIK3C2B; PTDINS-3-kinase C2 beta; ptdIns-3-kinase C2 subunit beta | |
| Mouse | |
| Affinity Chromatography | |
| RUO | |
| 5287 | |
| -20°C, Avoid Freeze/Thaw Cycles | |
| Liquid |
Product Content Correction
Your input is important to us. Please complete this form to provide feedback related to the content on this product.
Product Title
Spot an opportunity for improvement?Share a Content Correction