Promotional price valid on web orders only. Your contract pricing may differ. Interested in signing up for a dedicated account number?
Learn More
Learn More
Invitrogen™ PIST Polyclonal Antibody

Rabbit Polyclonal Antibody
Supplier: Invitrogen™ PA520179
Description
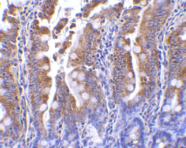
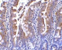
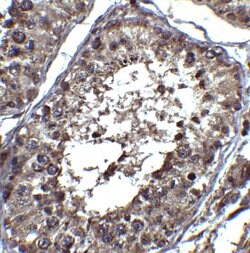
A suggested positive control is rat colon lysate. PA5-20179 can be used with blocking peptide PEP-0294.
PDZ domains contain approximately 90 amino acids and bind the extreme C terminus of proteins in a sequence-specific manner. PIST, a PDZ domain-containing Golgi protein, was discovered in a yeast two-hybrid system as a binding partner to Beclin-1, a Bcl-2-interacting protein homologous to the yeast autophagy gene apg6. Experiments with mutant PIST proteins lacking the PDZ domain showed that PIST interaction with Beclin-1 through its coiled-coil domain can modulate Beclin-1 activity and suggest that PIST interactions with other proteins through its PDZ domain may regulate the activity of PIST and Beclin-1.
Specifications
PIST | |
Polyclonal | |
Unconjugated | |
GOPC | |
2210402P09Rik; AI844555; CAL; CFTR-associated ligand; dJ94G16.2; dJ94G16.2 PIST; FIG; Fused in glioblastoma; golgi associated PDZ and coiled-coil motif containing; Golgi associated PDZ and coiled-coil motif containing protein; golgi-associated PDZ and coiled-coil motif containing protein; Golgi-associated PDZ and coiled-coil motif-containing protein; Gopc; GOPC1; PDZ domain-containing protein PIST; PDZ protein interacting specifically with TC10; PDZ/coiled-coil domain binding partner for the rho-family GTPase TC10; PIST | |
Rabbit | |
Antigen affinity chromatography | |
RUO | |
309774, 57120, 94221 | |
Maintain refrigerated at 2-8°C for up to 3 months. For long term storage store at -20°C | |
Liquid |
Immunohistochemistry, Western Blot, Immunocytochemistry | |
1 mg/mL | |
PBS with 0.02% sodium azide | |
Q8BH60, Q9HD26 | |
GOPC | |
A 16 amino acid peptide from near the carboxy terminus of human PIST. | |
100 μg | |
Primary | |
Human, Mouse, Rat | |
Antibody | |
IgG |
Safety and Handling
WARNING: Cancer - www.P65Warnings.ca.gov
Product Content Correction
Your input is important to us. Please complete this form to provide feedback related to the content on this product.
Product Title
Spot an opportunity for improvement?Share a Content Correction