Promotional price valid on web orders only. Your contract pricing may differ. Interested in signing up for a dedicated account number?
Learn More
Learn More
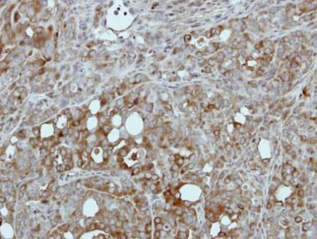
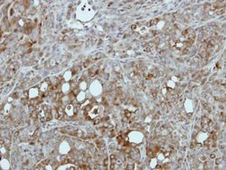
Invitrogen™ PKLR Polyclonal Antibody

Rabbit Polyclonal Antibody
Supplier: Invitrogen™ PA522178
Description
Recommended positive controls: 293T, A431, HeLa, HepG2, A375, rat liver, PKLR-transfected 293T. Predicted reactivity: Mouse (92%), Rat (92%), Dog (90%). Store product as a concentrated solution. Centrifuge briefly prior to opening the vial.
The protein encoded by this gene is a pyruvate kinase that catalyzes the transphosphorylation of phohsphoenolpyruvate into pyruvate and ATP, which is the rate-limiting step of glycolysis. Defects in this enzyme, due to gene mutations or genetic variations, are the common cause of chronic hereditary nonspherocytic hemolytic anemia (CNSHA or HNSHA). Multiple transcript variants encoding different isoforms have been found for this gene.
Specifications
| PKLR | |
| Polyclonal | |
| Unconjugated | |
| PKLR | |
| isozymes R/L; L-PK; PK1; Pk-1; PKL; Pklg; Pklr; PKR; PKRL; Pyruvate kinase 1; pyruvate kinase isozyme R/L; pyruvate kinase isozymes L/R; pyruvate kinase isozymes R/L; pyruvate kinase liver and red blood cell; pyruvate kinase PKLR; pyruvate kinase type L; pyruvate kinase, liver and blood cell; pyruvate kinase, liver and RBC; pyruvate kinase, liver and red blood cell; red cell/liver pyruvate kinase; RPK; R-PK; R-type/L-type pyruvate kinase | |
| Rabbit | |
| Antigen affinity chromatography | |
| RUO | |
| 24651, 5313 | |
| Store at 4°C short term. For long term storage, store at -20°C, avoiding freeze/thaw cycles. | |
| Liquid |
| Immunohistochemistry (Paraffin), Western Blot, Immunocytochemistry | |
| 1 mg/mL | |
| 0.1M tris glycine with 10% glycerol and 0.01% thimerosal; pH 7 | |
| P12928, P30613 | |
| PKLR | |
| Recombinant protein encompassing a sequence within the center region of human Pyruvate Kinase (liver/RBC). The exact sequence is proprietary. | |
| 100 μL | |
| Primary | |
| Human, Rat | |
| Antibody | |
| IgG |
Safety and Handling
WARNING: Cancer - www.P65Warnings.ca.gov
Product Content Correction
Your input is important to us. Please complete this form to provide feedback related to the content on this product.
Product Title
Spot an opportunity for improvement?Share a Content Correction