Promotional price valid on web orders only. Your contract pricing may differ. Interested in signing up for a dedicated account number?
Learn More
Learn More
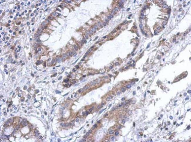
Invitrogen™ PLA2G4F Polyclonal Antibody

Rabbit Polyclonal Antibody
Supplier: Invitrogen™ PA531735
Description
Recommended positive controls: 293T, A431, Raji. Predicted reactivity: Human (99%), Bovine (86%). Store product as a concentrated solution. Centrifuge briefly prior to opening the vial.
Calcium-dependent phospholipase A2 that selectively hydrolyzes glycerophospholipids in the sn-2 position. Has higher enzyme activity for phosphatidylethanolamine than phosphatidylcholine.
Specifications
PLA2G4F | |
Polyclonal | |
Unconjugated | |
PLA2G4F | |
3.1.1.4; 4732472I07Rik; cPLA2-zeta; cytosolic phospholipase A2 zeta; Gm647; Phospholipase A2 group IVF; phospholipase A2, group IVF; Pla2g4f; PLA2G4FZ; Pla2zeta | |
Rabbit | |
Antigen affinity chromatography | |
RUO | |
255189 | |
Store at 4°C short term. For long term storage, store at -20°C, avoiding freeze/thaw cycles. | |
Liquid |
Immunohistochemistry (Paraffin), Western Blot | |
1 mg/mL | |
PBS with 1% BSA, 20% glycerol and 0.01% thimerosal; pH 7 | |
Q68DD2 | |
PLA2G4F | |
Recombinant protein encompassing a sequence within the C-terminus region of human PLA2G4F. The exact sequence is proprietary. | |
100 μL | |
Primary | |
Human | |
Antibody | |
IgG |
Safety and Handling
WARNING: Cancer - www.P65Warnings.ca.gov
Product Content Correction
Your input is important to us. Please complete this form to provide feedback related to the content on this product.
Product Title
Spot an opportunity for improvement?Share a Content Correction