Promotional price valid on web orders only. Your contract pricing may differ. Interested in signing up for a dedicated account number?
Learn More
Learn More
PLEKHA7 Antibody - BSA Free, Novus Biologicals™

Rabbit Polyclonal Antibody
Supplier: Novus Biologicals NBP276328
Description
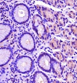
PLEKHA7 Polyclonal specifically detects PLEKHA7 in Human samples. It is validated for Western Blot, Immunohistochemistry, Immunocytochemistry/Immunofluorescence, Immunohistochemistry-Paraffin.Specifications
| PLEKHA7 | |
| Polyclonal | |
| Unconjugated | |
| PBS with 0.02% Sodium Azide | |
| PLEKHA7 | |
| Partial recombinant human PLEKHA7 protein (amino acids 821-1121) [UniProt Q6IQ23} | |
| 0.1 mg | |
| 144100.0 | |
| Store at 4°C short term. Aliquot and store at -20°C long term. Avoid freeze-thaw cycles. |
| Western Blot, Immunohistochemistry, Immunocytochemistry, Immunofluorescence, Immunohistochemistry (Paraffin) | |
| 1.0 mg/mL | |
| Western Blot 1 μg/mL, Immunohistochemistry 1:200-1:500, Immunocytochemistry/Immunofluorescence 5 μg/mL, Immunohistochemistry-Paraffin 1:200-1:500 | |
| DKFZp686M22243, PH domain-containing family A member 7, pleckstrin homology domain containing, family A member 2, pleckstrin homology domain containing, family A member 7, pleckstrin homology domain-containing family A member 7 | |
| Rabbit | |
| Affinity Purified | |
| Primary | |
| Human | |
| IgG |
Product Content Correction
Your input is important to us. Please complete this form to provide feedback related to the content on this product.
Product Title
Spot an opportunity for improvement?Share a Content Correction