Promotional price valid on web orders only. Your contract pricing may differ. Interested in signing up for a dedicated account number?
Learn More
Learn More
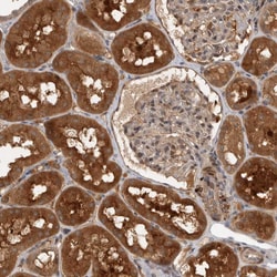
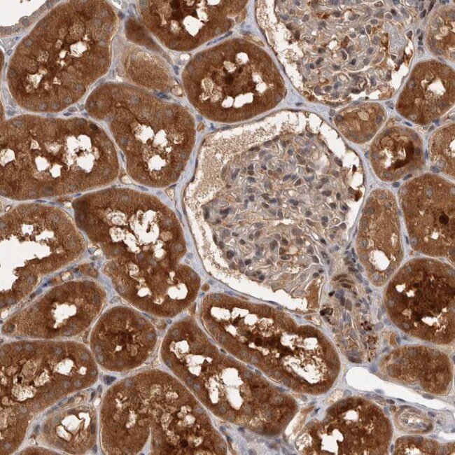
Invitrogen™ PLEKHM1 Polyclonal Antibody

Rabbit Polyclonal Antibody
Supplier: Invitrogen™ PA555203
Description
Immunogen sequence: LTASSLSLDT ASSSQLSCSL NSDSCLLQEN GSKSPDHCEE PMSCDSDLGT ANAEDSDRSL QEVLLEFSKA QVNSVPTNGL SQETEIPTPQ ASLSLHGLNT STYLHCEAP Highest antigen sequence identity to the following orthologs: Mouse - 76%, Rat - 77%.
PLEKHM1 is a member of the M family of Pleckstrin homolog domain-containing proteins, a group of proteins containing a RUN domain, two pleckstrin homology domains, and a cysteine-rich domain. It was identified through segregation analysis as a cause of osteopetrosis in humans. PLEKHM1 co-localizes with Rab7 to late endosomal/lysosomal vesicles in HEK293 and osteoclast-like cells, with this co-localization dependent on the prenylation of Rab7. Monocytes from a patient homozygous for a mutated form of PLEKHM1differentiated into osteoclasts normally, but failed to form ruffled borders and showed little evidence of bone resorption when cultured on dentine discs. Another mutation of PLEKHM1 impaired vesicular acidification and increased TRACP secretion in osteoclasts, suggesting that PLEKHM1 has critical roles in endosomal maturation and may be important in osteoclast-osteoblast cross-talk.
Specifications
PLEKHM1 | |
Polyclonal | |
Unconjugated | |
PLEKHM1 | |
162 kDa adapter protein; AP162; B2; BC038943; D330036J23Rik; KIAA0356; OPTB6; PH domain-containing family M member 1; pleckstrin homology and RUN domain containing M1; pleckstrin homology domain containing, family M (with RUN domain) member 1; pleckstrin homology domain-containing family M member 1; PLEKHM1 | |
Rabbit | |
Antigen affinity chromatography | |
RUO | |
9842 | |
Store at 4°C short term. For long term storage, store at -20°C, avoiding freeze/thaw cycles. | |
Liquid |
Immunohistochemistry (Paraffin), Western Blot | |
0.3 mg/mL | |
PBS with 40% glycerol and 0.02% sodium azide; pH 7.2 | |
Q9Y4G2 | |
PLEKHM1 | |
Recombinant protein corresponding to Human PLEKHM1. Recombinant protein control fragment (Product #RP-93290). | |
100 μL | |
Primary | |
Human | |
Antibody | |
IgG |
Safety and Handling
WARNING: Cancer - www.P65Warnings.ca.gov
Product Content Correction
Your input is important to us. Please complete this form to provide feedback related to the content on this product.
Product Title
Spot an opportunity for improvement?Share a Content Correction