Promotional price valid on web orders only. Your contract pricing may differ. Interested in signing up for a dedicated account number?
Learn More
Learn More
PLSCR3 Rabbit anti-Human, Polyclonal, Proteintech

Rabbit Polyclonal Antibody
Supplier: Proteintech Group Inc 510612IG150UL

Description
May mediate accelerated ATP-independent bidirectional transbilayer migration of phospholipids upon binding calcium ions that results in a loss of phospholipid asymmetry in the plasma membrane. May play a central role in the initiation of fibrin clot formation, in the activation of mast cells and in the recognition of apoptotic and injured cells by the reticuloendothelial system.Specifications
PLSCR3 | |
Polyclonal | |
Unconjugated | |
PLSCR3 | |
phospholipid scramblase 3, PL scramblase 3, PLSCR3 | |
Rabbit | |
150 μL | |
Primary | |
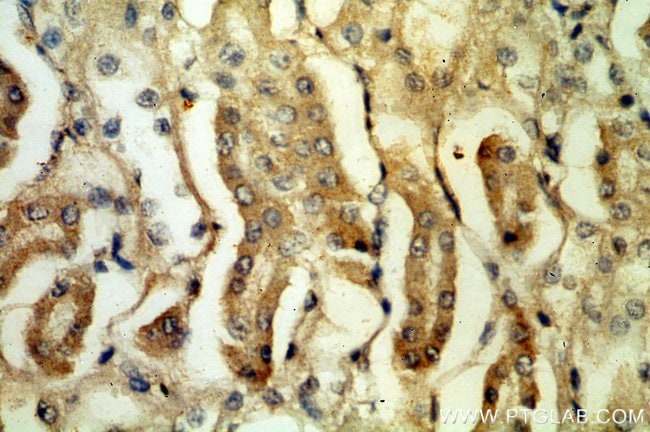
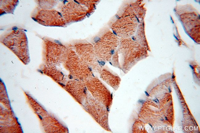
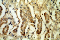
Human | |
Antibody | |
IgG |
Immunohistochemistry (Paraffin) | |
1 mg/mL | |
PBS with 50% glycerol and 0.1% sodium azide; pH 7.3 | |
Q9NRY6 | |
PLSCR3 | |
Protein A | |
RUO | |
57048 | |
-20°C | |
Liquid |
Product Content Correction
The Fisher Scientific Encompass Program offers items which are not part of our distribution portfolio. These products typically do not have pictures or detailed descriptions. However, we are committed to improving your shopping experience. Please use the form below to provide feedback related to the content on this product.
Product Title
Spot an opportunity for improvement?Share a Content Correction