Promotional price valid on web orders only. Your contract pricing may differ. Interested in signing up for a dedicated account number?
Learn More

Invitrogen™ PLSCR4 Polyclonal Antibody

Rabbit Polyclonal Antibody

Supplier:  Invitrogen™ PA535951

Catalog No. PIPA535951


Only null left
Add to Cart

Description

Description

Recommended positive controls: 293T, A431, HeLa, HepG2. Predicted reactivity: Mouse (87%), Rat (88%), Rhesus Monkey (98%), Bovine (89%). Store product as a concentrated solution. Centrifuge briefly prior to opening the vial.

May mediate accelerated ATP-independent bidirectional transbilayer migration of phospholipids upon binding calcium ions that results in a loss of phospholipid asymmetry in the plasma membrane. May play a central role in the initiation of fibrin clot formation, in the activation of mast cells and in the recognition of apoptotic and injured cells by the reticuloendothelial system.
TRUSTED_SUSTAINABILITY
Specifications

Specifications

PLSCR4
Polyclonal
Unconjugated
PLSCR4
AV245873; Ca(2+)-dependent phospholipid scramblase 4; cell growth inhibiting protein 43; Cell growth-inhibiting gene 43 protein; GIG43; Phospholipid scramblase 4; PL scramblase 4; Pls4; PLSCR4; TRA1
Rabbit
Antigen affinity chromatography
RUO
235527, 57088
Store at 4°C short term. For long term storage, store at -20°C, avoiding freeze/thaw cycles.
Liquid
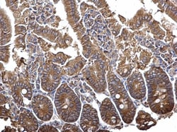
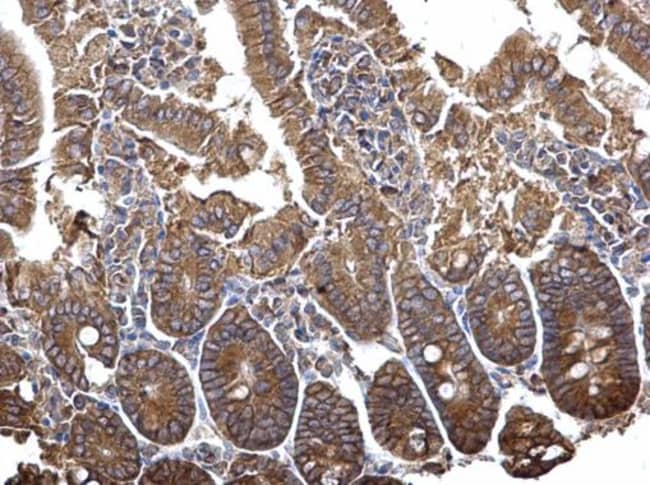
Immunohistochemistry (Paraffin), Western Blot
1 mg/mL
PBS with 20% glycerol and 0.01% thimerosal; pH 7
P58196, Q9NRQ2
PLSCR4
Recombinant protein encompassing a sequence within the center region of human PLSCR4. The exact sequence is proprietary.
100 μL
Primary
Human, Mouse
Antibody
IgG
Product Suggestions

Product Suggestions

Videos
SDS
Documents

Documents

Product Certifications
Promotions

Promotions

Product Content Correction

Your input is important to us. Please complete this form to provide feedback related to the content on this product.

Product Title

By clicking Submit, you acknowledge that you may be contacted by Fisher Scientific in regards to the feedback you have provided in this form. We will not share your information for any other purposes. All contact information provided shall also be maintained in accordance with our Privacy Policy.

Your feedback has been submitted: Thank you for helping us improve our website.