Learn More
Invitrogen™ PLXNB1 Polyclonal Antibody

Description
Immunogen sequence: PGDNECVMEL EGLEVVVEAR VECEPPPDTQ CHVTCQQHQL SYEALQPELR VGLFLRRAGR LRVDSAEGLH VVLYDCSVGH GDCSRCQTAM PQYGCVWC Highest antigen sequence identity to the following orthologs: Mouse - 79%, Rat - 82%.
Specifications
Specifications
| Antigen | PLXNB1 |
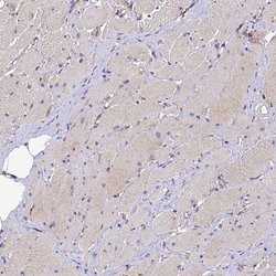
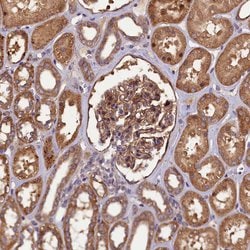
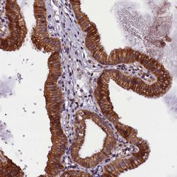
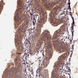
| Applications | Immunohistochemistry (Paraffin), Western Blot |
| Classification | Polyclonal |
| Concentration | 0.1 mg/mL |
| Conjugate | Unconjugated |
| Formulation | PBS with 40% glycerol and 0.02% sodium azide; pH 7.2 |
| Gene | Plxnb1 |
| Gene Accession No. | O43157 |
| Gene Alias | 2900002G15Rik; AU042020; Kiaa0407; mKIAA0407; plexin 1; plexin 5; plexin B1; plexin-A1; PLEXIN-B1; PLXN5; Plxnb1; Semaphorin receptor SEP; SEP |
| Gene Symbols | Plxnb1 |
| Show More |
By clicking Submit, you acknowledge that you may be contacted by Fisher Scientific in regards to the feedback you have provided in this form. We will not share your information for any other purposes. All contact information provided shall also be maintained in accordance with our Privacy Policy.