Promotional price valid on web orders only. Your contract pricing may differ. Interested in signing up for a dedicated account number?
                
Learn More
Learn More
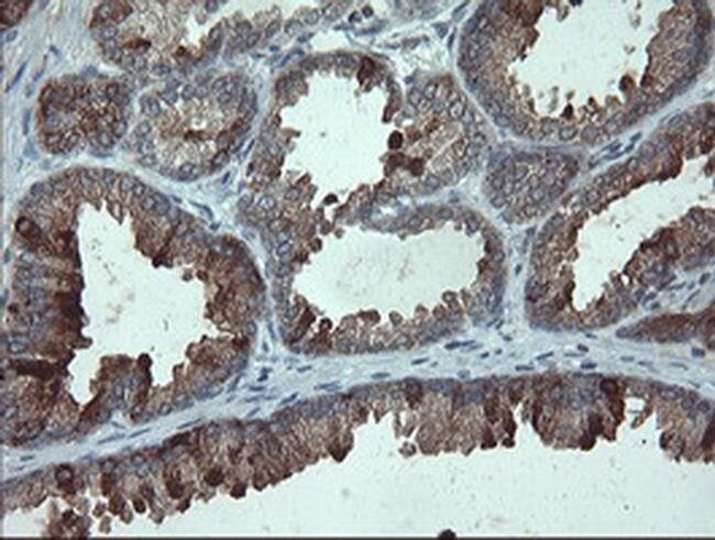
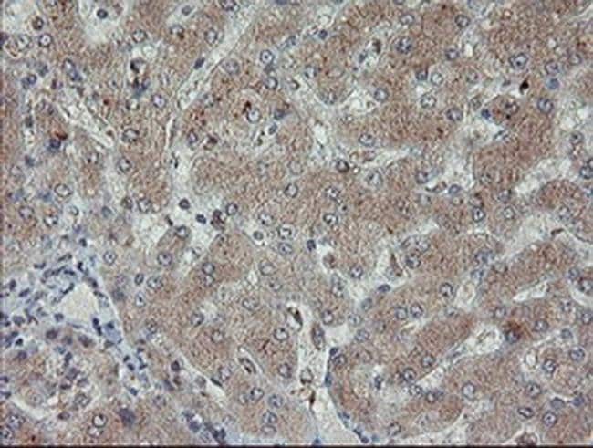
                                    PMEL Mouse anti-Canine, Human, Clone: OTI9G3, liquid, TrueMAB™
 
                                    
                                    
                                    
                                    
                                
                            
                            
                            
                            
Mouse Monoclonal Antibody
Supplier: OriGene TA500400
 
            Description
Melanoma gp100 a melanosomal matrix protein whose expression is closely correlated with cellular melanin content and which is a frequent melanoma tumor antigen recognized by cytotoxic T lymphocytes. It is a likely candidate gene for some cases of human oculocutaneous albinism not associated with known albinism loci.Specifications
| PMEL | |
| Monoclonal | |
| 1.9 mg/mL | |
| PBS with 1% BSA, 50% glycerol and 0.02% sodium azide | |
| P40967 | |
| PMEL | |
| Full-length protein expressed in 293T cell transfected with human SILV expression vector | |
| 100 μL | |
| Primary | |
| Canine, Human | |
| Antibody | |
| IgG1 | 
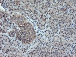
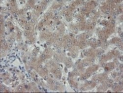
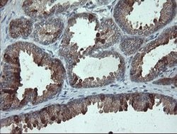
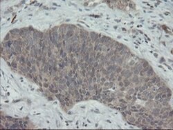
| Immunohistochemistry (Paraffin), Western Blot | |
| OTI9G3 | |
| Unconjugated | |
| PMEL | |
| D12S53E, ME20, ME20-M, ME20M, P1, P100, PMEL17, SI, SIL, SILV, gp100 | |
| Mouse | |
| Affinity Chromatography | |
| RUO | |
| 481102, 6490 | |
| -20° C, Avoid Freeze/Thaw Cycles | |
| Liquid | 
                    Product Content Correction
                
                The Fisher Scientific Encompass Program offers items which are not part of our distribution portfolio. These products typically do not have pictures or detailed descriptions. However, we are committed to improving your shopping experience. Please use the form below to provide feedback related to the content on this product.
Product Title
			
            Spot an opportunity for improvement?Share a Content Correction
             
                             
                             
                             
                             
                             
                             
                             
                             
                             
                            