Promotional price valid on web orders only. Your contract pricing may differ. Interested in signing up for a dedicated account number?
Learn More
Learn More
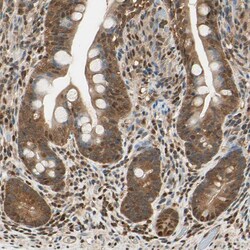
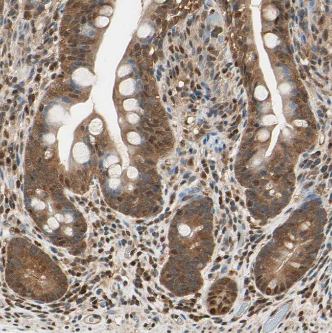
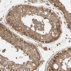
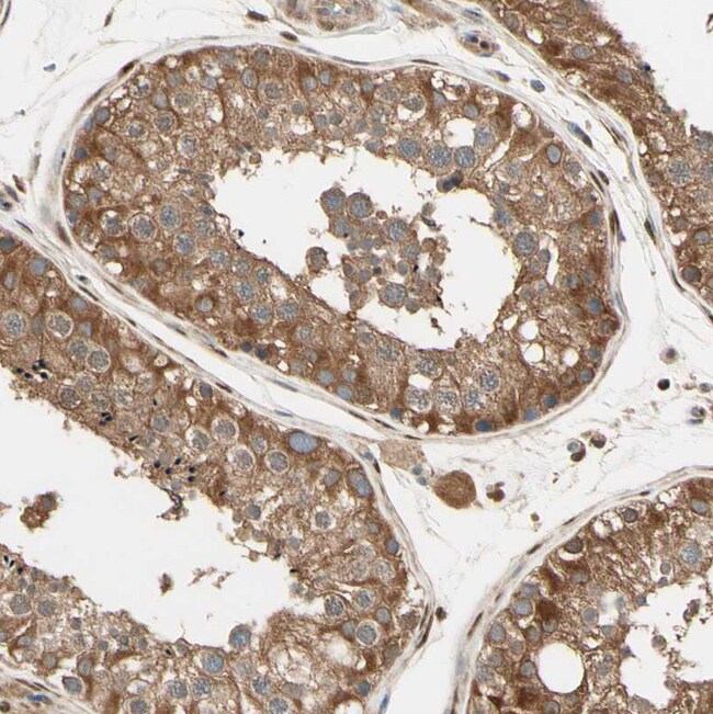
Invitrogen™ PNCK Polyclonal Antibody

Rabbit Polyclonal Antibody
Supplier: Invitrogen™ PA552437
Description
Immunogen sequence: MLLLKKHTED ISSVYEIRER LGSGAFSEVV LAQERGSAHL VALKCIPKKA LRGKEALVEN EIAVLRRISH PN Highest antigen sequence identity to the following orthologs: Mouse - 96%, Rat - 96%.
PNCK is a member of the calcium/calmodulin-dependent protein kinase family of protein serine/threonine kinases (Gardner et al., 2000 ).
Specifications
PNCK | |
Polyclonal | |
Unconjugated | |
PNCK | |
BSTK3; calcium/calmodulin-dependent protein kinase 1 beta; calcium/calmodulin-dependent protein kinase 1, beta; calcium/calmodulin-dependent protein kinase type 1B; CaM kinase I beta; caM kinase IB; CaMK1b; caM-KI beta; caMKI-beta; CaMKIbeta2; caMKlb1; CaMKlb2; Pnck; pregnancy up-regulated nonubiquitous CaM kinase; pregnancy up-regulated non-ubiquitously expressed CaM kinase; pregnancy upregulated non-ubiquitously expressed CaM kinase; pregnancy up-regulated non-ubiquitously-expressed CaM kinase; Pregnancy up-regulated non-ubiquitously-expressed CaM kinase homolog; Punc | |
Rabbit | |
Antigen affinity chromatography | |
RUO | |
139728 | |
Store at 4°C short term. For long term storage, store at -20°C, avoiding freeze/thaw cycles. | |
Liquid |
Immunohistochemistry (Paraffin), Immunocytochemistry | |
0.05 mg/mL | |
PBS with 40% glycerol and 0.02% sodium azide; pH 7.2 | |
Q6P2M8 | |
PNCK | |
Recombinant protein corresponding to Human PNCK. Recombinant protein control fragment (Product #RP-89783). | |
100 μL | |
Primary | |
Human | |
Antibody | |
IgG |
Product Content Correction
Your input is important to us. Please complete this form to provide feedback related to the content on this product.
Product Title
Spot an opportunity for improvement?Share a Content Correction